症例詳細
Case detail
インビザライン・ライトでの抜歯矯正治療 (スリーインサイザー仕上げ)
治療症例の内容
- 診療科目
- 治療カテゴリ
- 担当医
- 福本健生(ドクタープロフィール)
- 患者様
- 30代女性
- 矯正装置
- インビザライン・ライト
- 治療期間
- 7ヶ月
- 治療計画
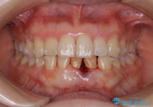
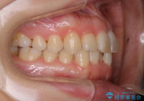
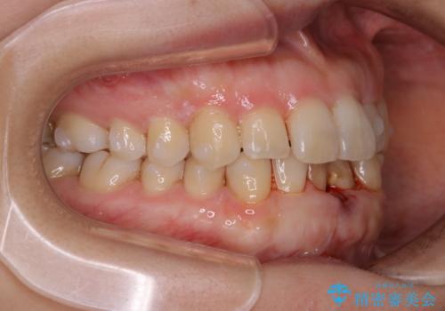
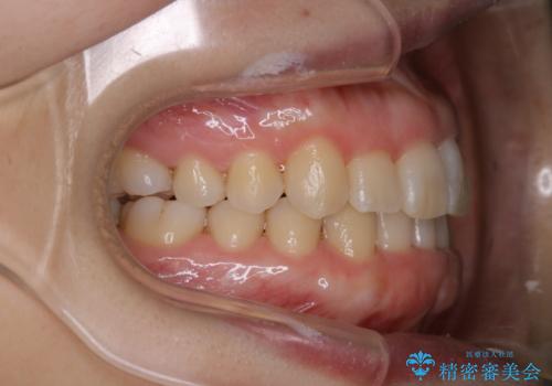
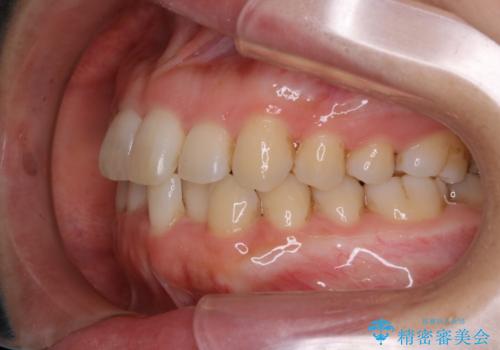
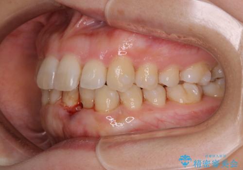
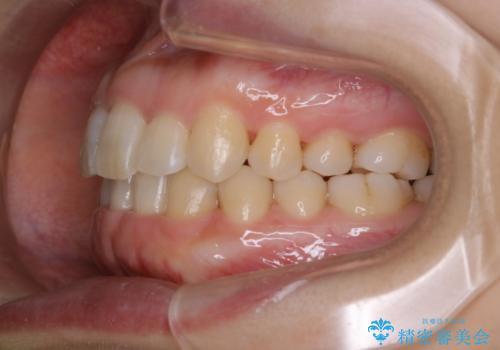
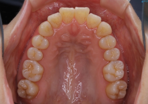
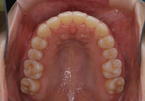
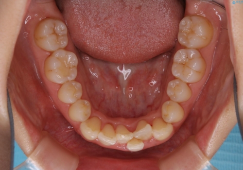
- 上下の前歯のがたつきが気になるとのことで来院されました。最短治療とインビザラインでの矯正治療をご希望されました。
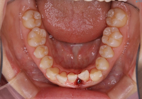
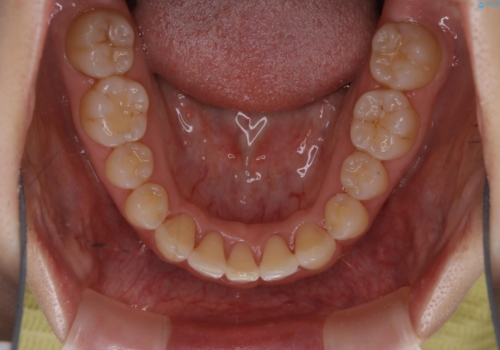
前歯のがたつきを無くすためには、スペースを確保する必要があります。上の前歯のがたつきは軽度ながたつきのため、歯と歯の間を研磨をして、そのスペースを使い並べていきます。下の前歯は、1本前歯を抜いて研磨せずに、その抜歯したスペースを使い並べることになりました。
インビザライン・ライトにて矯正治療を行うことになりました。
- 費用(概算)
- 470,000円費用は治療当時の料金となります
治療について
下の前歯は、スリーインサイザー仕上げと言って、通常前歯は4本ありますが(犬歯はいれていない)、そのどれか1本を抜歯して前歯を3本にして矯正治療を行うことを言います。また、先天的に歯の本数が少ない方もいますので、矯正治療を行っていなくても元々スリーインサイザーの方もいます。
インビザラインでの矯正治療の場合、装着時間や交換のタイミングは自己管理のため、患者さん自身にも頑張ってもらう必要があります。
マウスピース矯正の注意事項(リスク・副作用など)
- 口腔内・歯並びの状態によっては対応できない場合があります
- マウスピース型矯正装置の長時間装着(1日20時間以上)が必須です
- 治療計画通りに進めるためには、患者様の意志が重要になります
- 矯正治療後の保定が不十分だと後戻り(元の位置に戻ろうとする動き)をします
- 薬機法対象外の矯正歯科装置のため医薬品副作用被害救済制度の対象外となる場合があります
- 自費診療(保険適用外)となります
当サイトの内容、テキスト、画像等の無断転載、複製、複写、盗用を固く禁じます。

















