症例詳細
Case detail
虫歯や歯周病予防のためにクリーニングを(PMTC)
治療症例の内容
- 診療科目
- 治療カテゴリ
- 患者様
- 30代男性
- 治療期間
- 1日
- 治療回数
- 1回
- 治療計画
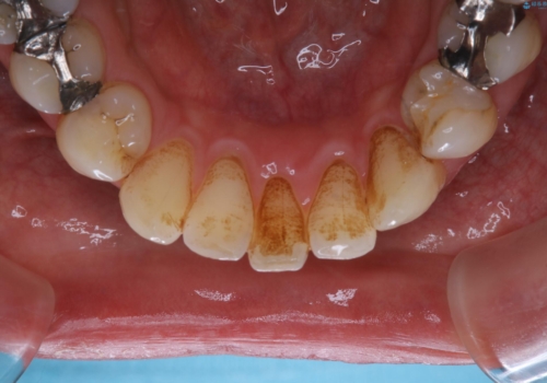
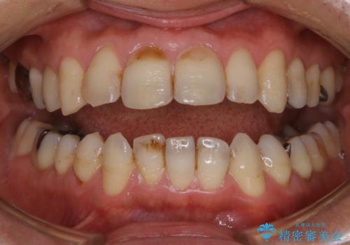
- 着色を落として欲しいとのことで来院されました。
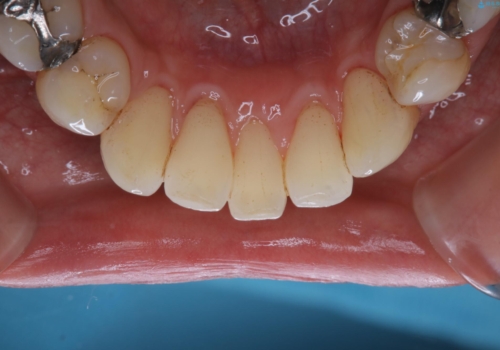
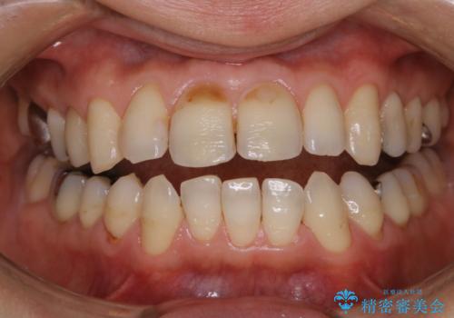
PMTC60分コースを行いました。
- 費用(概算)
- 11000円費用は治療当時の料金となります
治療について
PMTC60分コースを行いました。
着色もとても多く付着していましたが、歯石やプラークも多く付着していました。この患者様は、初期の虫歯がいくつかあるため、このまま定期的にクリーニングを行っていても虫歯が進行する可能性があるため、より丁寧なブラッシングが必要になることを説明しました。
担当歯科衛生士
表参道しらゆり歯科 DH富田
PMTCの注意事項(リスク・副作用など)
- 歯を白くする目的の施術ではありません
- 保険適用外となります
当サイトの内容、テキスト、画像等の無断転載、複製、複写、盗用を固く禁じます。






