症例詳細
Case detail
ホワイトニング。前歯のセラミックの被せ物に色見を合わせる
治療症例の内容
- 診療科目
- 治療カテゴリ
- 患者様
- 20
- 治療期間
- 1日
- 治療回数
- 1回
- 治療計画
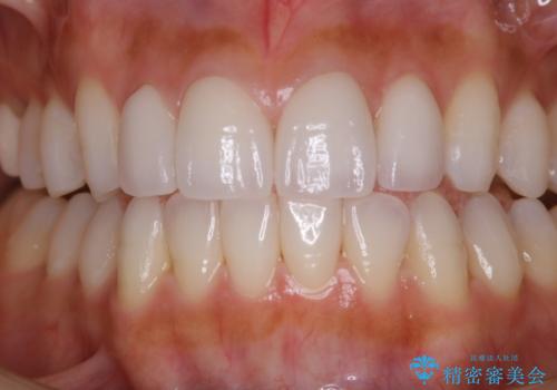
- 全体を上の前歯4本のセラミック(被せ物)に合わせて白くしたいとのことで来院されました。
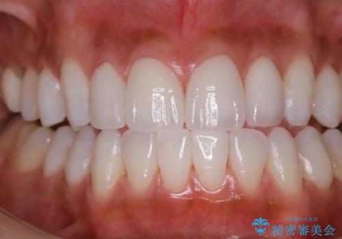
オフィスホワイトニングのエクセレントコースと処置前クリーニングを1回行いました。
- 費用(概算)
- 33,000円費用は治療当時の料金となります
治療について
処置前クリーニングとオフィスホワイトニングのエクセレントコースを1回行いました。
上の前歯4本がセラミック(被せ物)になっており、ホワイトニングをしても色は変わりません。セラミックに合わせて全体を白くするためにオフィスホワイトニングを行いました。1回の施術でかなりセラミックに近づきました。ですが、このまま終わりにしてしまうと、後戻りがはやいため、ホームホワイトニングをする事になりました。ホームホワイトニングの期間はワンクール2週間です。
担当歯科衛生士
表参道しらゆり歯科 DH富田
ホワイトニングの注意事項(リスク・副作用など)
- 知覚過敏が出ることがあります
- ホワイトバンドや白い斑点が出ることがあります
- クラウンやインレー等の補綴物には効果がありません
- ホワイトニングによる効果や持続期間には個人差があります
- 歯牙の状態によっては適応できないことがあります
- 保険適用外となります
PMTCの注意事項(リスク・副作用など)
- 歯を白くする目的の施術ではありません
- 保険適用外となります
当サイトの内容、テキスト、画像等の無断転載、複製、複写、盗用を固く禁じます。




