症例詳細
Case detail
歯のクリーニング(PMTC)
治療症例の内容
- 診療科目
- 治療カテゴリ
- 患者様
- 20代男性
- 治療期間
- 1日
- 治療回数
- 1回
- 治療計画
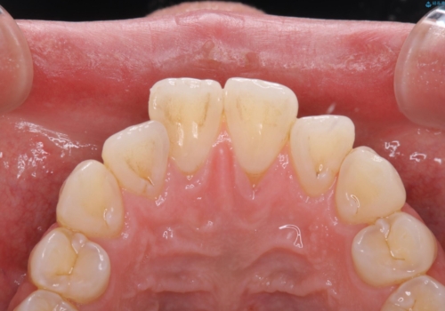
- 全体的にクリーニングしてほしいとのことで来院されました。
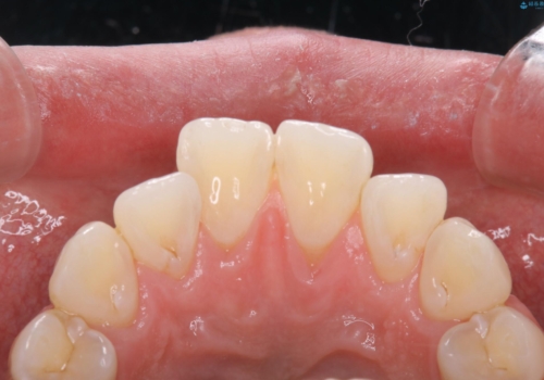
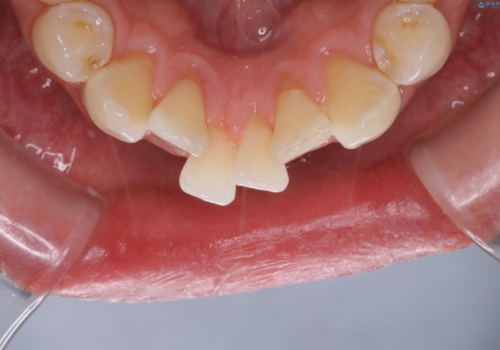
PMTC60分コースを行いました。
- 費用(概算)
- ¥11000費用は治療当時の料金となります
治療について
PMTC60分コースを行いました。
PMTCを初めてやったとのことで、全体的にステイン、プラーク、歯石が多く付着していました。これから虫歯の治療や矯正がスタートするため、歯茎が腫れていたり、汚れが付着していると、虫歯や歯周病が進行してしまうため、治療と並行してブラッシング指導、クリーニングを行っています。何よりも日々のクリーニング(ホームケア)が大切なため、頑張っています。
定期的なクリーニングを行っていても、毎日しっかりと磨けていなければ虫歯も進行しますし、まずはブラッシングの仕方、デンタルフロスと徐々にステップアップしていきます。
担当歯科衛生士
表参道しらゆり歯科 DH富田
PMTCの注意事項(リスク・副作用など)
- 歯を白くする目的の施術ではありません
- 保険適用外となります
当サイトの内容、テキスト、画像等の無断転載、複製、複写、盗用を固く禁じます。






