症例詳細
Case detail
オフィスホワイトニングで白い歯に
治療症例の内容
- 診療科目
- 治療カテゴリ
- 患者様
- 20代女性
- 治療期間
- 1日
- 治療回数
- 1回
- 治療計画
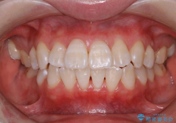
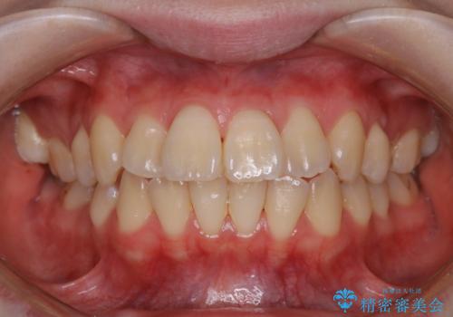
- オフィスホワイトニングをしたいとのことで来院されました。
 オフィスホワイトニングのエクセレントコースと処置前クリーニングを行いました。
- 費用(概算)
- 33,000円費用は治療当時の料金となります
治療について
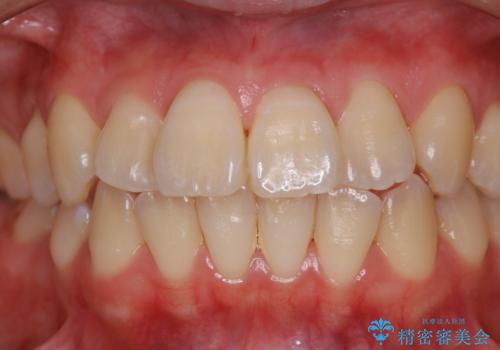
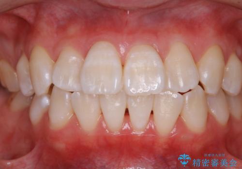
オフィスホワイトニングのエクセレントコース1回と処置前クリーニングを行いました。
オフィスホワイトニングの治療期間は個人差がありますが、1回の施術で満足のいくお色味に近づいても、すぐに後戻りしてしまいます。ホワイトニングは何度も重ねて白くしてあげることにより、きれいな白さに仕上げることができます。また、後戻りのペースもダウンするためおすすめです。オフィスホワイトニングとホームホワイトニングを両方行うデュアルホワイトニングもおすすめです。
ホワイトニングの無料カウンセリングもあるので、是非お問い合わせください。
担当歯科衛生士
表参道しらゆり歯科 DH富田
ホワイトニングの注意事項(リスク・副作用など)
- 知覚過敏が出ることがあります
- ホワイトバンドや白い斑点が出ることがあります
- クラウンやインレー等の補綴物には効果がありません
- ホワイトニングによる効果や持続期間には個人差があります
- 歯牙の状態によっては適応できないことがあります
- 保険適用外となります
PMTCの注意事項(リスク・副作用など)
- 歯を白くする目的の施術ではありません
- 保険適用外となります
当サイトの内容、テキスト、画像等の無断転載、複製、複写、盗用を固く禁じます。








 
                       
                                                          



 
                   
                   
                  