症例詳細
Case detail
インビザライン中の歯石取り
治療症例の内容
- 診療科目
- 治療カテゴリ
- 患者様
- 30代男性
- 治療期間
- 1日
- 治療回数
- 1回
- 治療計画
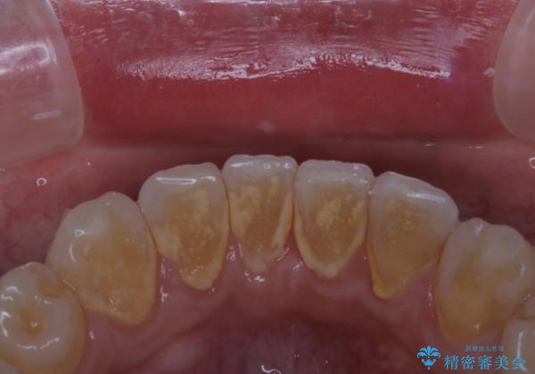
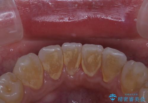
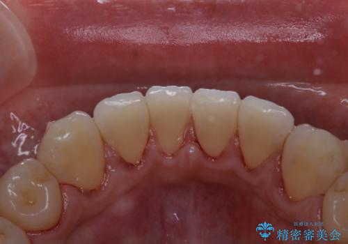
- インビザラインでのマウスピース矯正中の患者様です。
 歯石による舌ざわりが気になるとのことでした。
 PMTC30分コースを行いました。
- 費用(概算)
- ¥5500費用は治療当時の料金となります
治療について
プラークが放置されると、そこで病原菌が繁殖し始めます。そうなるとバイオフィルム(歯面に強固に付着したばい菌の膜)になり、歯肉に炎症が生じ歯周病の引き金となります。
プラークやバイオフィルムといった細菌などを放置すると歯石となります。歯石になってしまうと歯磨きでは取り除くことができないため、歯科医院にて専門的な機械や材料を使用してクリーニングを受ける必要があります。
PMTCは審美的な面だけではなく、虫歯や歯周病予防にもなります。
矯正治療中(ワイヤー・マウスピース共に)虫歯や歯周病予防のためには、お口の中を清潔に保つことが大切です。
担当
表参道しらゆり歯科 DH西澤
PMTCの注意事項(リスク・副作用など)
- 歯を白くする目的の施術ではありません
- 保険適用外となります
当サイトの内容、テキスト、画像等の無断転載、複製、複写、盗用を固く禁じます。








 
                       
                                                          

 
                   
                   
                  