症例詳細
Case detail
矯正治療終了時にクリーニングも
治療症例の内容
- 診療科目
 
- 治療カテゴリ
 
- 患者様
 - 30代男性
 
- 治療期間
 - 1日
 
- 治療回数
 - 1回
 
- 治療計画
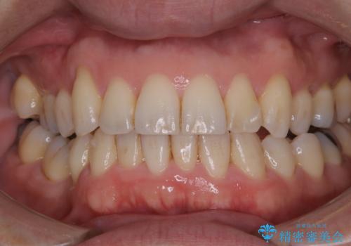
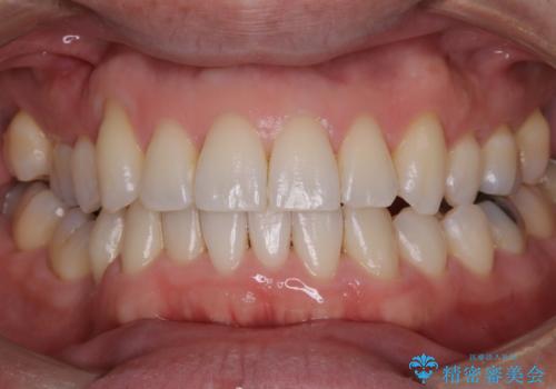
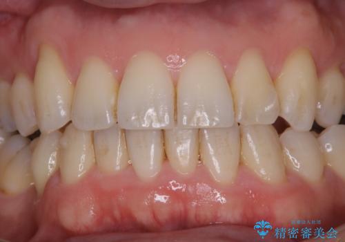
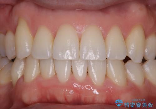
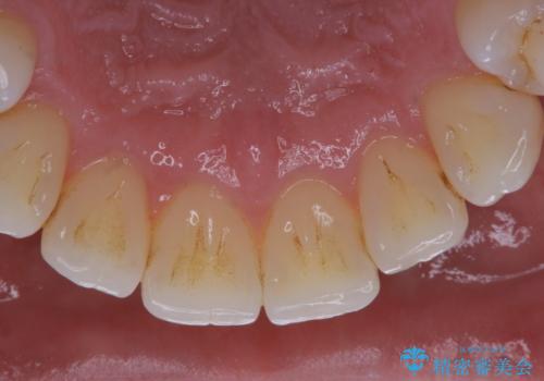
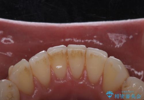
 - インビザライン(ライト)でのマウスピース矯正が終了した患者様です。
アタッチメントを除去する際にステインや歯石除去も行いたいとのことでした。
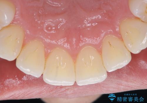
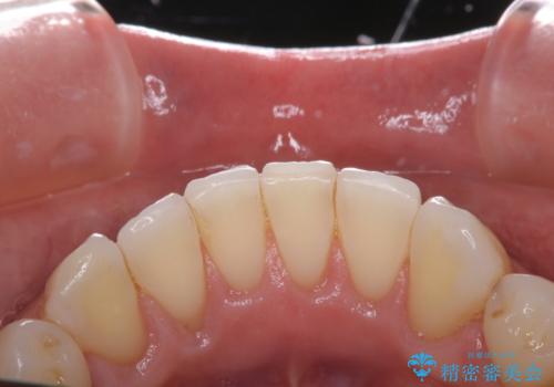
PMTC30分コースを行いました。 
- 費用(概算)
 - ¥5500費用は治療当時の料金となります
 
治療について
インビザライン矯正治療は、歯にアタッチメント(歯を動かすための突起物)をつけます。そのため、矯正治療が終了し、アタッチメントを外すと着色が目立つことがあります。矯正治療の終了のタイミングではクリーニングを行い、着色の除去や歯と歯の間・歯と歯肉との境目などのケアをしっかりすることをおすすめしています。
担当
表参道しらゆり歯科 DH西澤
PMTCの注意事項(リスク・副作用など)
- 歯を白くする目的の施術ではありません
 - 保険適用外となります
 
当サイトの内容、テキスト、画像等の無断転載、複製、複写、盗用を固く禁じます。

                      
                                                          






