症例詳細
Case detail
マスクにより気になる口臭を歯医者で予防
治療症例の内容
- 診療科目
- 治療カテゴリ
- 患者様
- 30代女性
- 治療期間
- 1日
- 治療回数
- 1回
- 治療計画
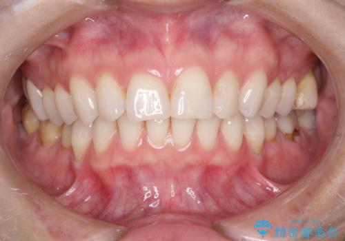
- マスクの着用により、口臭が気になるため口臭予防を行いたいとのことでした。
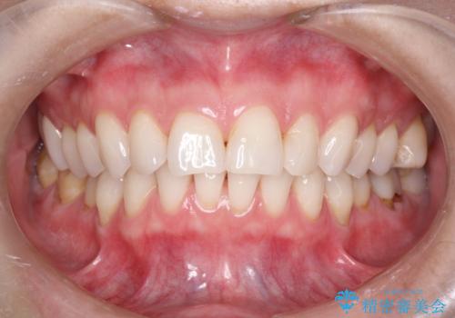
PMTC30分コースを行いました。
- 費用(概算)
- ¥5500費用は治療当時の料金となります
治療について
PMTCとはProfessinnal Mechanical Tooth Cleaning・専門器具による歯の機械的な清掃です。
バイオフィルム(細菌の塊)を破壊し、歯の表面をツルツルにすることでお口の中の細菌数を減らし歯周病のリスクが定着するのを防ぎます。更に、歯に新しい汚れがつきにくい状態になります。
バイオフィルムが除去されると、ご自身本来の歯の表面になります。PMTCをすることで口臭予防にもなり、定期的に行うことが大切です。
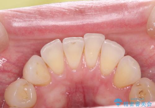
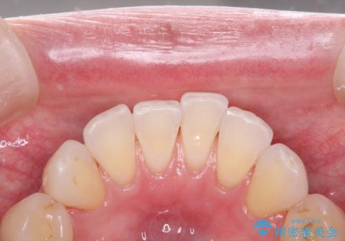
歯石除去をすることにより、歯と歯の間に隙間が見られることがあります。
ただし、それは今まで歯石により埋め尽されていた状態だったため、開いた隙間は正常な歯肉の状態です。
担当
表参道しらゆり歯科 DH西澤
PMTCの注意事項(リスク・副作用など)
- 歯を白くする目的の施術ではありません
- 保険適用外となります
当サイトの内容、テキスト、画像等の無断転載、複製、複写、盗用を固く禁じます。






