症例詳細
Case detail
オフィスホワイトニング スペシャルコース
治療症例の内容
- 診療科目
- 治療カテゴリ
- 患者様
- 60代女性
- 治療期間
- 1日
- 治療回数
- 1回
- 治療計画
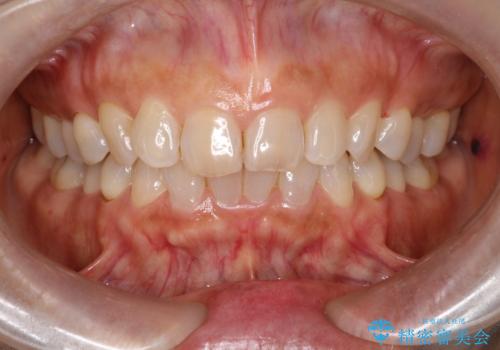
- 10年以上メンテナンスで通院されている方です。
初めては知覚過敏があり健康目的としてメンテナンスを希望されていましたが、最近は白いに興味が出てきたようで、歯の黄ばみ予防を兼ねてエアーフローをされる事もあります。
- 費用(概算)
- 約13,000円費用は治療当時の料金となります
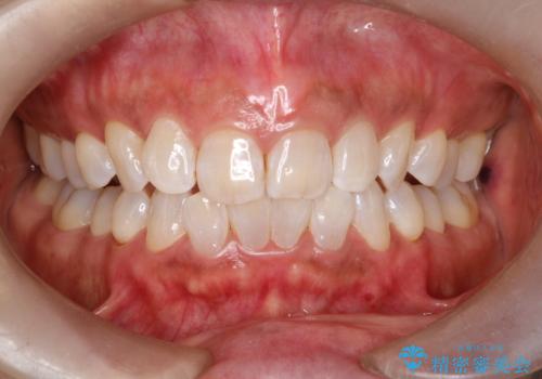
オフィスホワイトニング スペシャルコース
1回来院で白くしていくホワイトニングではなく、何回か受けて頂き、徐々に白くしていくコースとなります。知覚過敏が心配な方やホームホワイトニングをしながらの方にもおすすめです。
銀座では1番人気コースです。
銀座 歯科衛生士吉越
ホワイトニングの注意事項(リスク・副作用など)
- 知覚過敏が出ることがあります
- ホワイトバンドや白い斑点が出ることがあります
- クラウンやインレー等の補綴物には効果がありません
- ホワイトニングによる効果や持続期間には個人差があります
- 歯牙の状態によっては適応できないことがあります
- 保険適用外となります
当サイトの内容、テキスト、画像等の無断転載、複製、複写、盗用を固く禁じます。


