症例詳細
Case detail
奥歯のインプラント 大人になって残っていた乳歯がダメになった
治療症例の内容
- 治療カテゴリ
- 担当医
- 井上季実子(ドクタープロフィール)
- 患者様
- 50代男性
- 治療期間
- 1年
- 治療回数
- 5-10回
- 治療計画
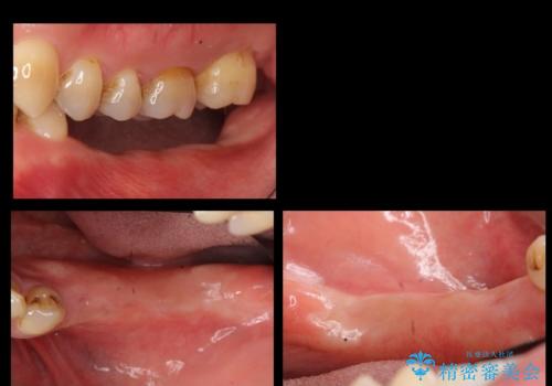
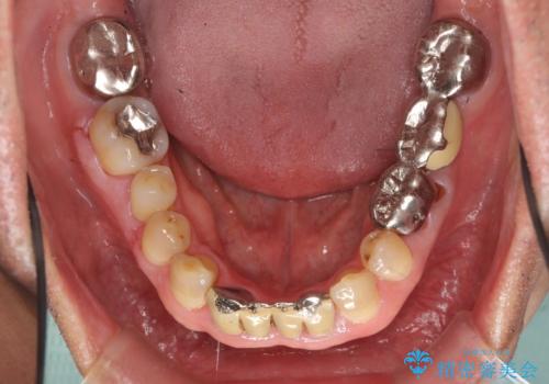
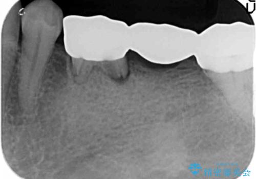
- 奥歯のブリッジの違和感を主訴に来院。
乳歯を使ってブリッジにしていましたが、支台歯が両方虫歯になっており、根が短くなって持たなくなった乳歯を抜いて、インプラントにすることになりました。
- 費用(概算)
- 105.6万円(インプラント 20万円x2、カスタムアバットメント10万円x2、ジルコニアクラウン10万円x3、仮歯2万円x3)費用は治療当時の料金となります
治療について
治療スケジュールとしては
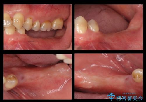
①保存不可能な歯の抜歯
②6か月待つ
③インプラント埋入
④2か月待つ
⑤二次手術(APF)
⑥仮歯の装着
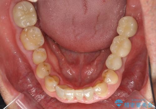
⑦最終的なセラミッククラウンの装着
となります。
セラミック治療の注意事項(リスク・副作用など)
- 天然歯を削ります
- 硬い素材は天然歯を傷つけてしまう場合があります
- かみ合わせや歯ぎしりが強すぎる方はセラミックが割れてしまう可能性があります
- 自費診療(保険適用外治療)となります
インプラント治療の注意事項(リスク・副作用など)
- 外科手術のため、術後に痛みや腫れ、違和感を伴います
- メンテナンスを怠ったり喫煙により、お口の中に大きな悪影響を及ぼすインプラント周囲炎等にかかる可能性があります
- 糖尿病、肝硬変、心臓病等の場合、インプラント治療ができない可能性があります
- 高血圧、貧血・不整脈等の場合、インプラント治療後に治癒不全を招く可能性があります
- 自費診療(保険適用外治療)となります
当サイトの内容、テキスト、画像等の無断転載、複製、複写、盗用を固く禁じます。















