症例詳細
Case detail
銀歯下の虫歯再発 インプラントによる機能回復
治療症例の内容
- 診療科目
- 治療カテゴリ
- 担当医
- 大元洋佑(ドクタープロフィール)
- 患者様
- 20代男性
- 治療期間
- 10ヶ月
- 治療回数
- 5-10回
- 治療計画
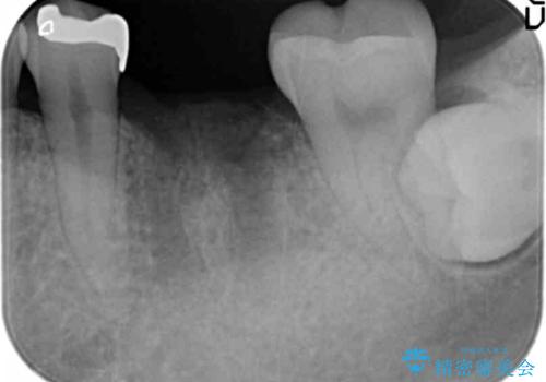
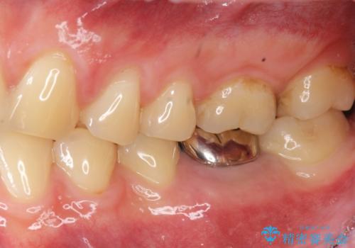
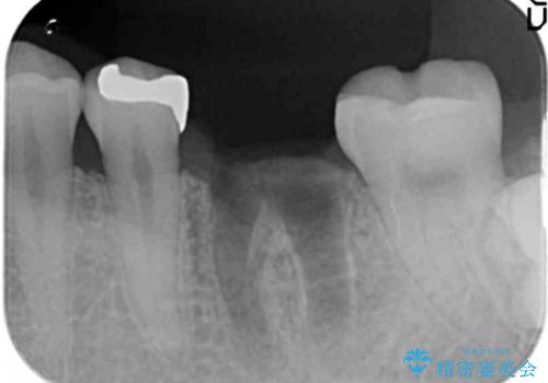
- 銀歯の奥歯で噛むと違和感・痛みがあるとのことで検査・治療を求めて来院されました。
銀歯を除去して見ると内部で虫歯が再発し、歯の辺縁は破折し保存が難しく抜歯をしなければいけない状態でした。
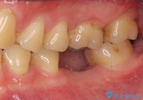
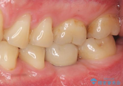
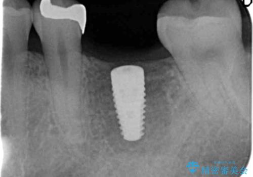
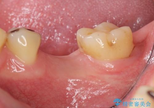
抜歯後ブリッジとインプラント治療を検討・相談し、より周囲の歯を削らずに済むインプラント治療を希望されたのでインプラントによる機能回復を計画します。
- 費用(概算)
- 46.2万円(インプラント・チタンカスタムアバットメント・仮歯・ジルコニアクラウン)費用は治療当時の料金となります
銀歯について
銀歯に限らず神経を除去する根管治療を行なった歯は、痛みが出ないまま虫歯が進行していることもしばしばみられます。
外から見ても状況は全くわからないことが多いため、X線による定期的な検査が重要です。
インプラント治療の注意事項(リスク・副作用など)
- 外科手術のため、術後に痛みや腫れ、違和感を伴います
- メンテナンスを怠ったり喫煙により、お口の中に大きな悪影響を及ぼすインプラント周囲炎等にかかる可能性があります
- 糖尿病、肝硬変、心臓病等の場合、インプラント治療ができない可能性があります
- 高血圧、貧血・不整脈等の場合、インプラント治療後に治癒不全を招く可能性があります
- 自費診療(保険適用外治療)となります
当サイトの内容、テキスト、画像等の無断転載、複製、複写、盗用を固く禁じます。





















