症例詳細
Case detail
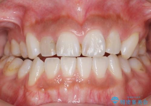
フロスを通すと臭い 歯と歯の間の虫歯 セラミックインレー 30代女性
治療症例の内容
- 診療科目
- 治療カテゴリ
- 担当医
- 患者様
- 30代女性
- 治療期間
- 1ヶ月
- 治療回数
- 2-5回
- 治療計画
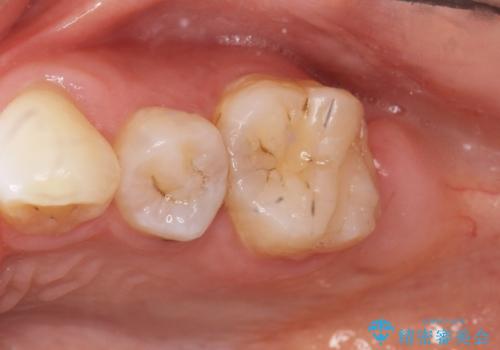
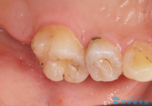
- 歯と歯の間の虫歯治療を希望された患者様です。
フロスを通すと臭いのが気になるとの事でした。
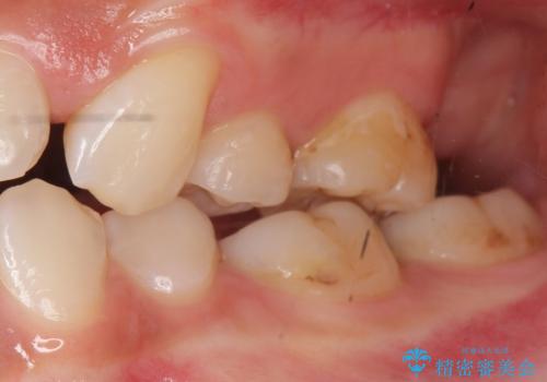
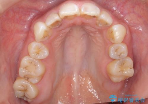
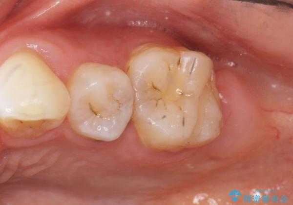
精査したところ、左上の奥歯の間(左上56間)にう蝕を認めました。
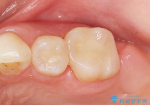
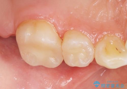
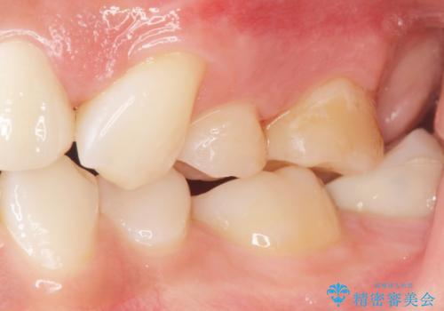
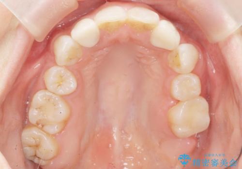
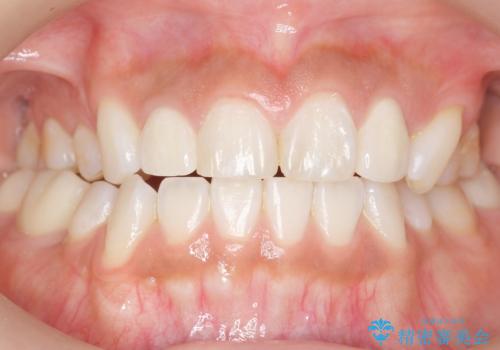
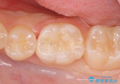
う蝕を丁寧に除去したのち、セラミックインレーによる修復を行いました。
- 費用(概算)
- ¥154,000 (セラミックインレー×2本) ※税込費用は治療当時の料金となります
治療について
セラミックインレーの審美的な仕上がりと自然な咬み心地にご満足頂けました。
「フロスを通したときの嫌な臭いもなくなった」と喜んで下さいました。
インレーの種類:セラミックインレー(e-max press)
セラミック治療の注意事項(リスク・副作用など)
- 天然歯を削ります
- 硬い素材は天然歯を傷つけてしまう場合があります
- かみ合わせや歯ぎしりが強すぎる方はセラミックが割れてしまう可能性があります
- 自費診療(保険適用外治療)となります
当サイトの内容、テキスト、画像等の無断転載、複製、複写、盗用を固く禁じます。












