症例詳細
Case detail
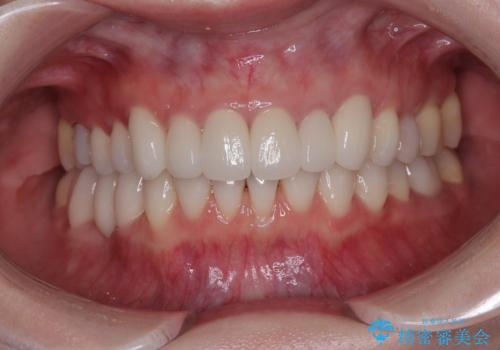
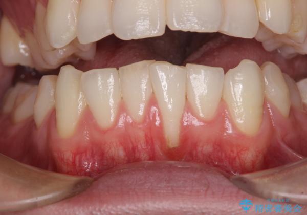
ほぼ歯根全てが露出 2度の歯肉移植術で自然な見た目に
治療症例の内容
- 診療科目
- 治療カテゴリ
- 担当医
- 藤巻太一朗(ドクタープロフィール)
- 患者様
- 20代男性
- 治療期間
- 8ヶ月
- 治療回数
- 5-10回
- 治療計画
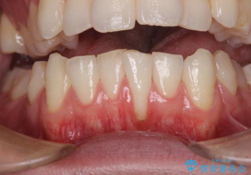
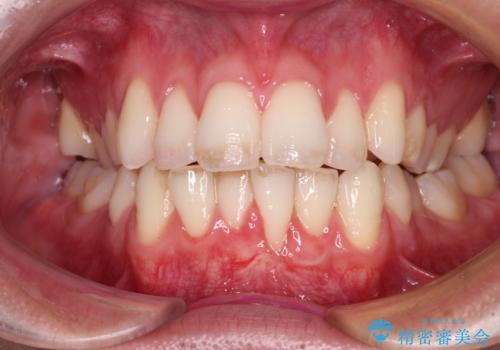
- 徐々に歯根が見えるようになり、気がついたら歯根のほぼ全てが見えるようなってしまったと言うことで来院された患者様です。
しみる症状はないものの、見た目が著しく悪く、汚れが溜まりやすいとのことで、歯肉移植による根面被覆を行うこととしました。
歯肉が非常に薄く、必要な被覆量が多いことから、1度の処置では十分な被覆は難しく、2度処置を行うことになる可能性が高いとお伝えしました。
- 費用(概算)
- 治療費の目安: 16万円(税込)費用は治療当時の料金となります
治療について
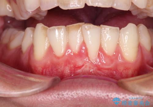
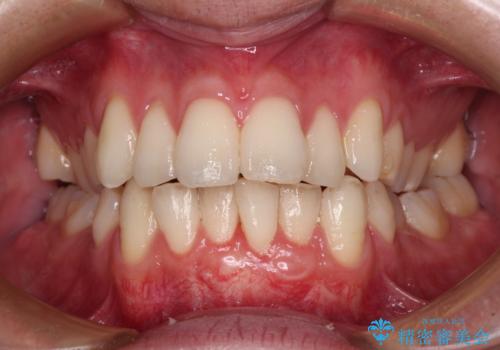
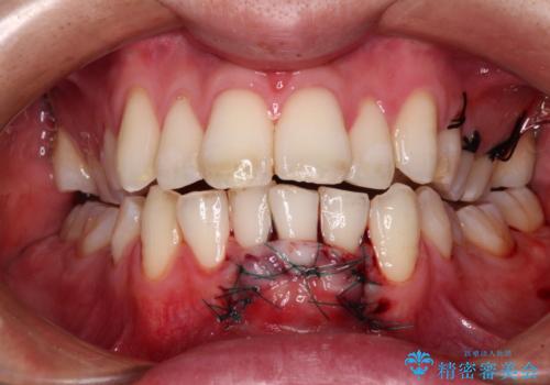
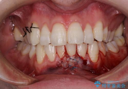
1回目の処置で多少は被覆され歯肉が厚くなりましたが、十分とは言えなかったため、2回目の処置を行いました。
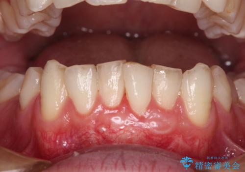
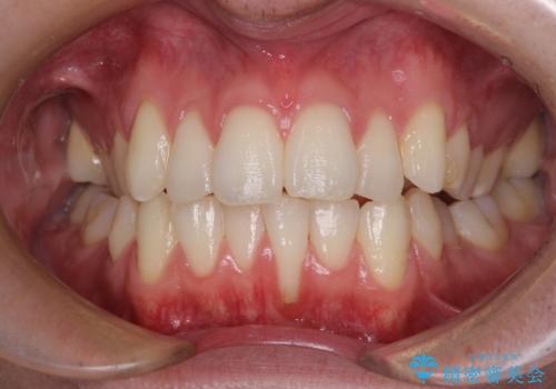
2回目の処置後には十分な厚みと、十分な被覆量を獲得することができました。
外科処置の注意事項(リスク・副作用など)
- 外科手術のため、術後に出血、痛みや腫れ、違和感を伴います
- 口腔内の状態によっては適応できないことがあります
当サイトの内容、テキスト、画像等の無断転載、複製、複写、盗用を固く禁じます。












