症例詳細
Case detail
歯磨きの度にしみる歯 露出した歯根を歯肉移植で改善
治療症例の内容
- 診療科目
- 治療カテゴリ
- 担当医
- 藤巻太一朗(ドクタープロフィール)
- 患者様
- 40代女性
- 治療期間
- 4ヶ月
- 治療回数
- 2-5回
- 治療計画
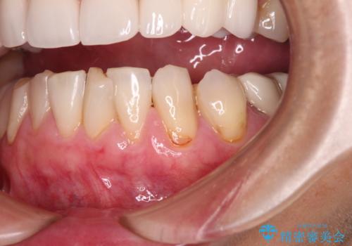
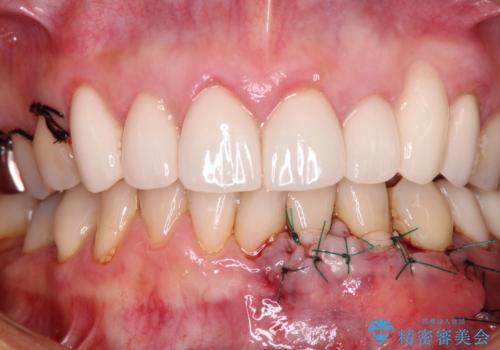
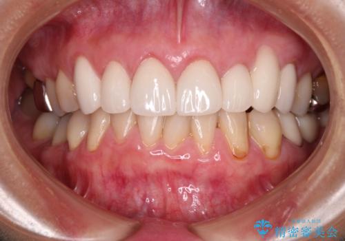
- 今まで知覚過敏の薬や歯磨き粉などを散々試しても全く改善されないとのことで来院された患者様です。
歯根面が露出しており、少し風をかけるだけでもしみてしまう状況でした。
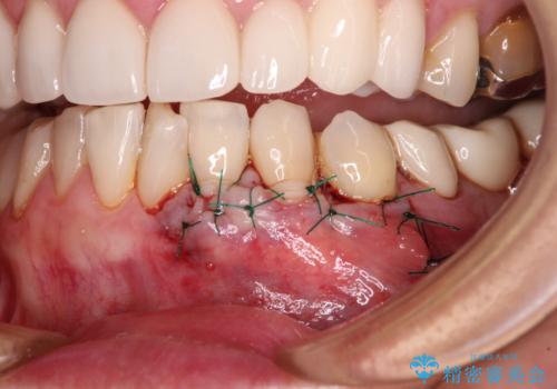
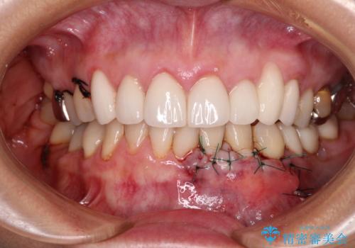
セラミッククラウンによる治療も検討されていましたが、歯肉が非常に薄く、クラウンを装着しても将来的に歯肉退縮を起こす可能性が考えられたので、まずは歯肉移植による根面被覆を行うこととしました。
外科処置に恐怖心があるとのことで、移植手術を行う際には、静脈内鎮静法にてリラックスした状態で処置を受けていただきました(別途税別5万円)。
- 費用(概算)
- 治療費の目安: 22万円(税込)費用は治療当時の料金となります
治療について
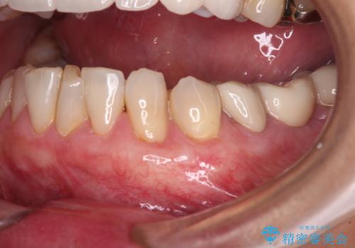
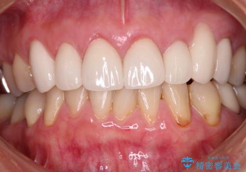
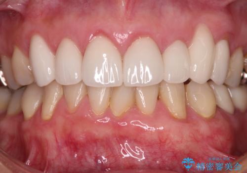
歯肉移植による根面被覆の結果、しみる症状は一切なくなりました。
歯肉の厚みが増したため、歯肉退縮のリスクが軽減されましたが、定期的に症状が再発していない確認していくことになります。
外科処置の注意事項(リスク・副作用など)
- 外科手術のため、術後に出血、痛みや腫れ、違和感を伴います
- 口腔内の状態によっては適応できないことがあります
当サイトの内容、テキスト、画像等の無断転載、複製、複写、盗用を固く禁じます。











