症例詳細
Case detail
矯正前クリーニング(PMTC)
治療症例の内容
- 診療科目
- 治療カテゴリ
- 患者様
- 20代男性
- 治療期間
- 1日
- 治療回数
- 1回
- 治療計画
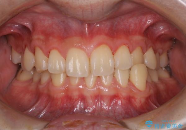
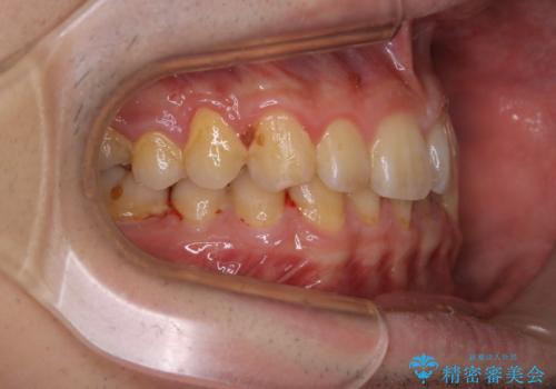
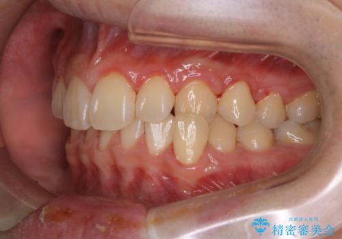
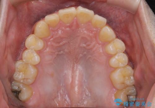
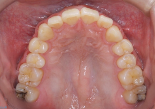
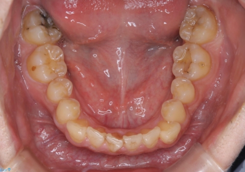
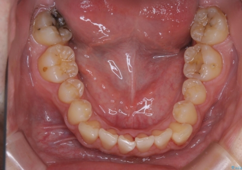
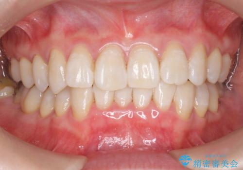
- クリーニング希望により来院されました。
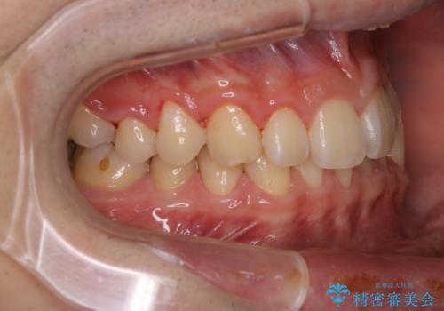
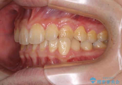
 PMTC30分コースを行いました。
- 費用(概算)
- ¥5,500費用は治療当時の料金となります
治療について
PMTC30分コースを行いました。
人生で初めてのクリーニングということもあり、プラークや歯石が大量に付いていました。それにより、歯茎の腫れもあり出血も多かったです。これから矯正をスタートしていくため、歯ブラシ指導を行いホームケアを頑張ってもらっています。
担当歯科衛生士
表参道しらゆり歯科 DH富田
PMTCの注意事項(リスク・副作用など)
- 歯を白くする目的の施術ではありません
- 保険適用外となります
当サイトの内容、テキスト、画像等の無断転載、複製、複写、盗用を固く禁じます。








 
                       
                                                          









 
                   
                   
                  