症例詳細
Case detail
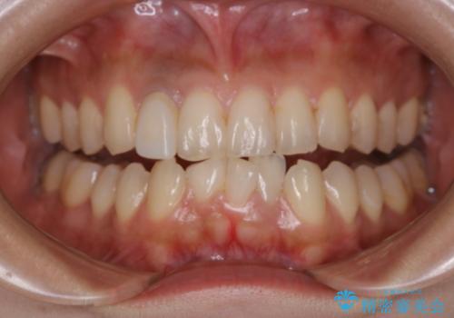
前歯1本をセラミック(被せ物)にする前に、全体的に白くしていくオフィスホワイトニング
治療症例の内容
- 診療科目
- 治療カテゴリ
- 患者様
- 20代女性
- 治療期間
- 1日
- 治療回数
- 1回
- 治療計画
- 前歯1本をセラミック(被せ物)にする前に、全体的に白くしていきたいとのことで来院されました。
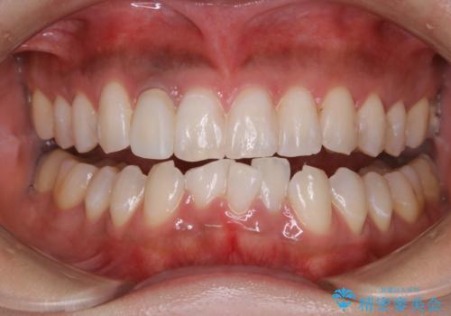
オフィスホワイトニングのエクセレントコースと処置前クリーニングを行いました。
- 費用(概算)
- ¥33,000費用は治療当時の料金となります
治療について
オフィスホワイトニングのエクセレントコースと処置前クリーニングを行いました。
右上の前から2番目の1本(今は仮歯)を今後セラミックの被せ物にするため、全体的に白くして、それに合わせた色見の被せ物をつくるために、ホワイトニングを行いました。
1回のホワイトニングで仮歯の色に近づきましたが、後戻りのリスクを考えると、もう一度オフィスホワイトニングを行うか、ホームホワイトニングを行った方が良いです。この方は、ホームホワイトニングをしていくことになりました。
担当歯科衛生士
DH富田
PMTCの注意事項(リスク・副作用など)
- 歯を白くする目的の施術ではありません
- 保険適用外となります
ホワイトニングの注意事項(リスク・副作用など)
- 知覚過敏が出ることがあります
- ホワイトバンドや白い斑点が出ることがあります
- クラウンやインレー等の補綴物には効果がありません
- ホワイトニングによる効果や持続期間には個人差があります
- 歯牙の状態によっては適応できないことがあります
- 保険適用外となります
当サイトの内容、テキスト、画像等の無断転載、複製、複写、盗用を固く禁じます。




