症例詳細
Case detail
しみてしまう下顎の犬歯 歯肉移植による根面被覆
治療症例の内容
- 診療科目
- 治療カテゴリ
- 担当医
- 藤巻太一朗(ドクタープロフィール)
- 患者様
- 30代男性
- 治療期間
- 4ヶ月
- 治療回数
- 2-5回
- 治療計画
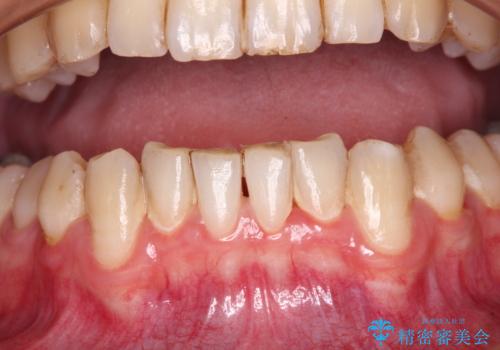
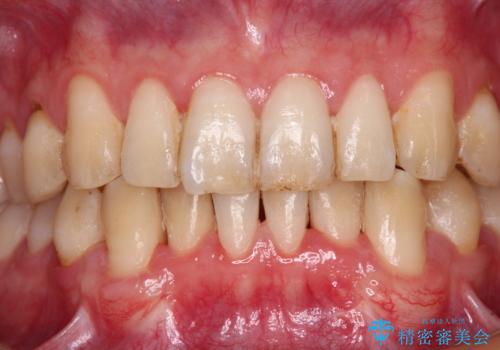
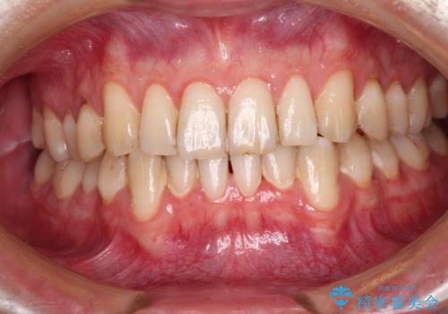
- 下顎犬歯の歯肉退縮を気にして来院された患者様です。
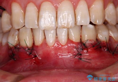
歯磨きの際にしみるとのことで、歯肉移植による根面被覆を行うこととしました。
- 費用(概算)
- 治療費の目安: 16万円(税込)費用は治療当時の料金となります
治療について
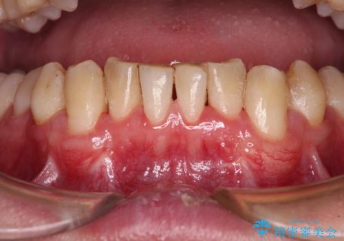
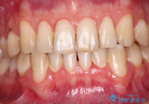
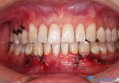
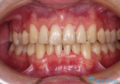
歯肉移植により根面被覆が達成されるとともに、歯肉が厚みを増したことで、今後の歯肉退縮リスクを軽減させることができました。
外科処置の注意事項(リスク・副作用など)
- 外科手術のため、術後に出血、痛みや腫れ、違和感を伴います
- 口腔内の状態によっては適応できないことがあります
当サイトの内容、テキスト、画像等の無断転載、複製、複写、盗用を固く禁じます。










