症例詳細
Case detail
詰め物の境目が黒くて気になる 40代女性
治療症例の内容
- 診療科目
- 治療カテゴリ
- 担当医
- 患者様
- 40代女性
- 治療期間
- 1ヶ月
- 治療回数
- 2-5回
- 治療計画
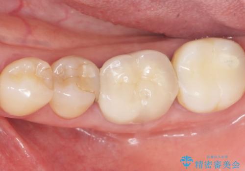
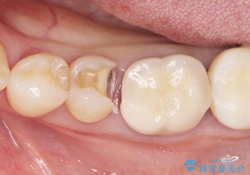
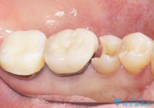
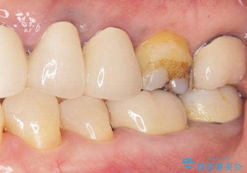
- 詰め物の境目が黒いことを気にされ、来院された患者様です。
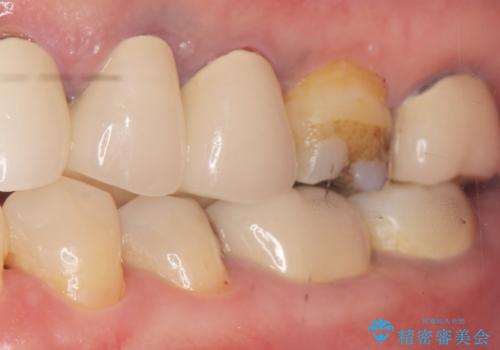
精査したところ、左下の奥歯(左下5)のプラスチックの詰め物と歯の境目が虫歯になり、黒くなっていました。
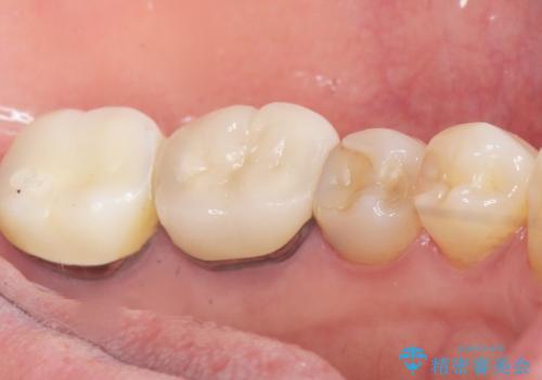
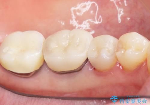
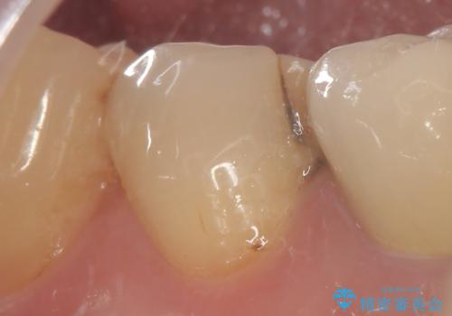
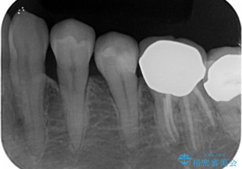
古い詰め物とう蝕を除去し、審美的で適合が良く二次う蝕になりにくいセラミックインレーによる修復を行いました。
- 費用(概算)
- ¥77,000 (セラミックインレー) ※税込費用は治療当時の料金となります
治療について
審美的な仕上がりと自然な咬み心地に喜んで下さいました。
インレーの種類:セラミックインレー(e-max press)
セラミック治療の注意事項(リスク・副作用など)
- 天然歯を削ります
- 硬い素材は天然歯を傷つけてしまう場合があります
- かみ合わせや歯ぎしりが強すぎる方はセラミックが割れてしまう可能性があります
- 自費診療(保険適用外治療)となります
当サイトの内容、テキスト、画像等の無断転載、複製、複写、盗用を固く禁じます。













