症例詳細
Case detail
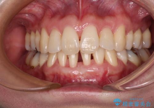
下顎前歯の歯肉退縮 歯肉移植による根面被覆
治療症例の内容
- 診療科目
- 治療カテゴリ
- 担当医
- 藤巻太一朗(ドクタープロフィール)
- 患者様
- 40代女性
- 治療期間
- 4ヶ月
- 治療回数
- 2-5回
- 治療計画
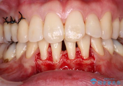
- 矯正治療により下の前歯の歯肉が退縮してしまい、根が見えていることが気になるとのことで来院された患者様です。
歯肉退縮に対して、上顎からの結合組織移植術(CTG)により、歯根の被覆を行うとともに、歯肉の厚みを増すことで将来の退縮リスクを抑制することとしました。
被覆量が不十分の場合には、追加で手術を行うことで患者様の了解を得ました。
- 費用(概算)
- 治療費の目安: 30万円(税込)費用は治療当時の料金となります
治療について
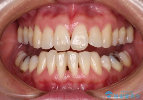
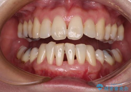
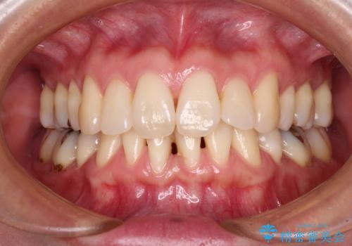
歯と歯と歯肉の間にある三角形の隙間(ブラックトライアングル)は歯肉移植では改善できないため、根面被覆できる量に限界がありましたが、最大限回復させることができました。
外科処置の注意事項(リスク・副作用など)
- 外科手術のため、術後に出血、痛みや腫れ、違和感を伴います
- 口腔内の状態によっては適応できないことがあります
当サイトの内容、テキスト、画像等の無断転載、複製、複写、盗用を固く禁じます。










