症例詳細
Case detail
ワイヤー矯正中のクリーニング
治療症例の内容
- 診療科目
- 治療カテゴリ
- 患者様
- 20代女性
- 治療期間
- 1日
- 治療回数
- 1回
- 治療計画
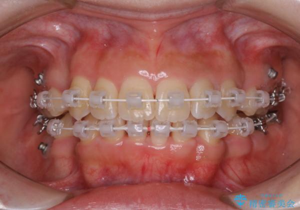
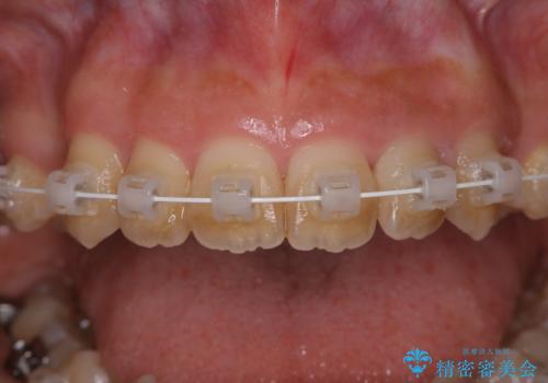
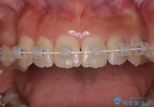
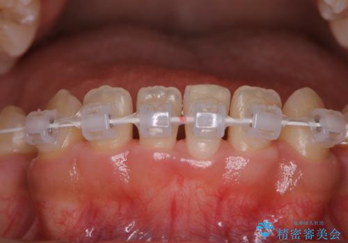
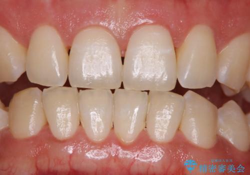
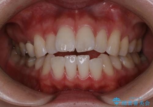
- 着色が気になるとのことで来院されました。
 PMTC60分コースを行いました。
- 費用(概算)
- 11000円費用は治療当時の料金となります
治療について
PMTC60分コースを行いました。
着色だけではなく、歯石やプラークがたくさん付いており、汚れを落としたことにより正常な隙間が見えてきました。これを放置しておくと、歯周病や虫歯が進行してしまいます。ワイヤー矯正中はとてもホームケアが大変になるため1,2ヶ月のペースでのクリーニングをおすすめしています。
担当歯科衛生士
表参道しらゆり歯科 DH富田
PMTCの注意事項(リスク・副作用など)
- 歯を白くする目的の施術ではありません
- 保険適用外となります
当サイトの内容、テキスト、画像等の無断転載、複製、複写、盗用を固く禁じます。








 
                       
                                                          





 
                   
                   
                  