症例詳細
Case detail
八重歯・前歯のがたつき 抜かない矯正 インビザラインで
治療症例の内容
- 診療科目
- 担当医
- 井上季実子(ドクタープロフィール)
- 患者様
- 30代女性
- 矯正装置
- インビザライン
- 治療期間
- 3年6ヶ月
- 治療回数
- 10-30回
- 治療計画
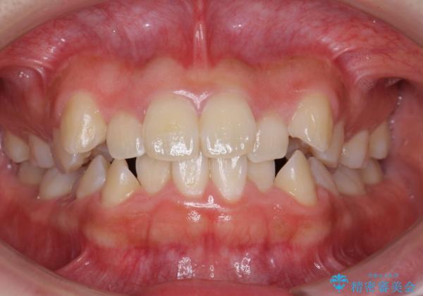
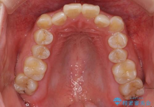
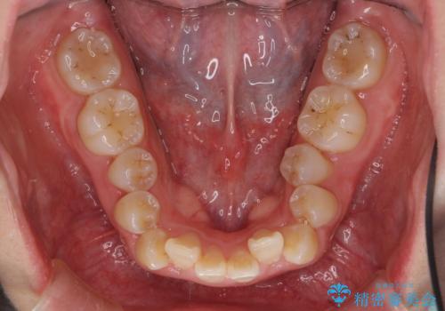
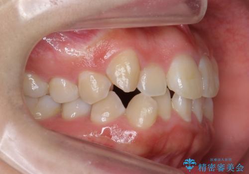
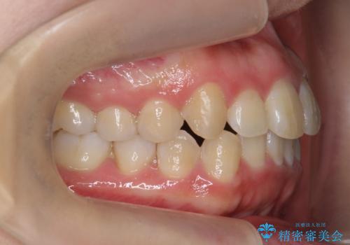
- 前歯のがたつきを主訴に来院。
 
 がたつきの程度が大きいため、小臼歯を抜歯してワイヤー矯正をお勧めしましたがマウスピース矯正でできる範囲内でとのことでした。
 すき間が足りないと、八重歯を完全に下におろしきれないことがあります。
 
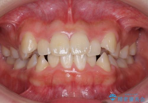
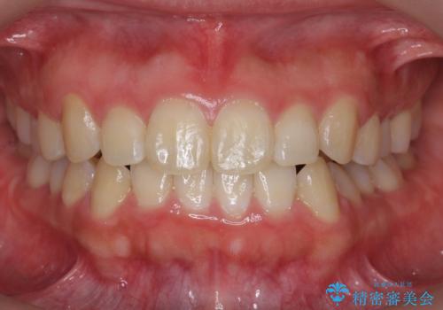
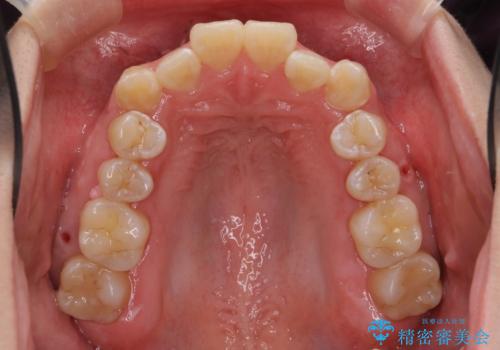
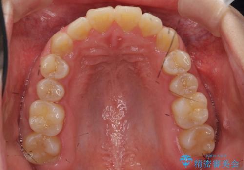
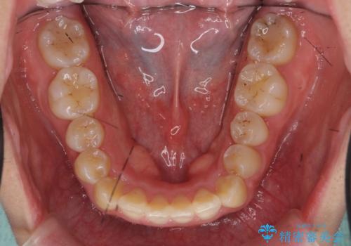
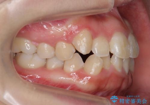
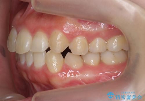
 今回は、時間をかけてできる限りしっかり並べました。
 
 すき間を得るため、矯正用インプラントで、上下左右の歯を後ろに移動しています。
 
 
 
 
- 費用(概算)
- 110万円(税込み)費用は治療当時の料金となります
治療について
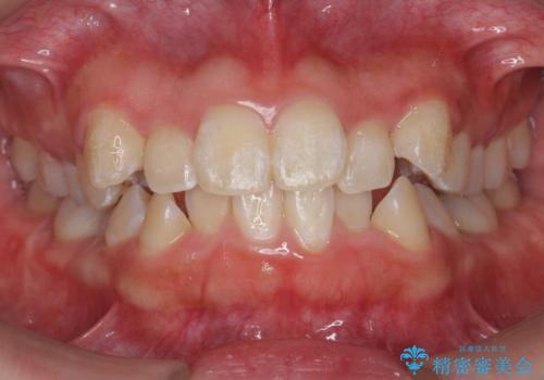
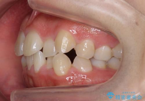
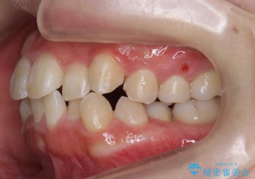
前歯部を中心に、IPR(エナメル質を少し削る処置)を行い、すき間を作っています。
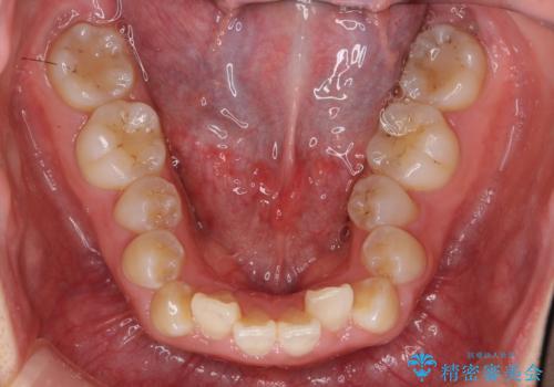
また、左下5がすれ違っているのを治すのに時間がかかりましたが、しっかり治療をすることができました。
マウスピース矯正の注意事項(リスク・副作用など)
- 口腔内・歯並びの状態によっては対応できない場合があります
- マウスピース型矯正装置の長時間装着(1日20時間以上)が必須です
- 治療計画通りに進めるためには、患者様の意志が重要になります
- 矯正治療後の保定が不十分だと後戻り(元の位置に戻ろうとする動き)をします
- 薬機法対象外の矯正歯科装置のため医薬品副作用被害救済制度の対象外となる場合があります
- 自費診療(保険適用外)となります
当サイトの内容、テキスト、画像等の無断転載、複製、複写、盗用を固く禁じます。








 
                       
                                                          


















 
                   
                   
                  