症例詳細
Case detail
歯茎の下がりが気になる 歯肉移植でさがりにくくする
治療症例の内容
- 診療科目
- 治療カテゴリ
- 担当医
- 井上季実子(ドクタープロフィール)
- 患者様
- 20代男性
- 治療期間
- 1ヶ月
- 治療回数
- 2-5回
- 治療計画
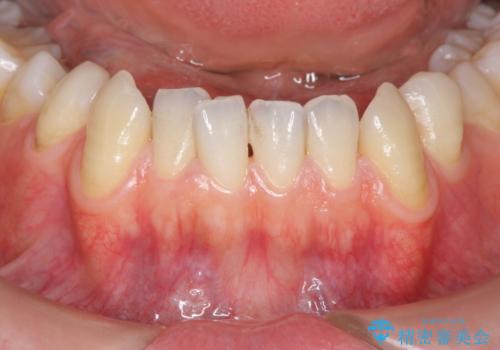
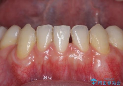
- 下の犬歯の歯茎の下がりを気にされていました。
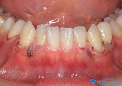
矯正治療予定であったので、矯正治療前に歯茎の移植を行い、さらに退縮するのを防ぎました。
矯正治療の過程は以下に示しています。
https://seimitsushinbi.jp/case/80950/
- 費用(概算)
- 27.5万円(静脈内鎮静 5万円、歯肉移植2か所20万円)費用は治療当時の料金となります
治療について
下がったのを元に戻すことは必ずしもできないですが、厚みを増やして下がりにくくすることはできます。今回左下の犬歯は特に、しっかり下がったのも元に戻すことができ、大変うまくいきました。
歯周病治療の注意事項(リスク・副作用など)
- 外科手術のため、術後に痛みや腫れ、違和感を伴います
- 歯周組織再生治療は患者様の状態によって術後の経過が異なります(見た目が改善しない場合もあります)
- 歯周組織再生治療は自費診療(保険適用外)となります
当サイトの内容、テキスト、画像等の無断転載、複製、複写、盗用を固く禁じます。









