症例詳細
Case detail
インビザラインの矯正中のクリーニング
治療症例の内容
- 診療科目
- 治療カテゴリ
- 患者様
- 30代女性
- 治療期間
- 1日
- 治療回数
- 1回
- 治療計画
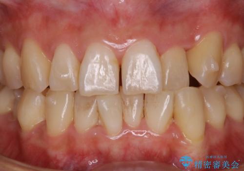
- 着色がを落としてほしいとのことで来院されました。
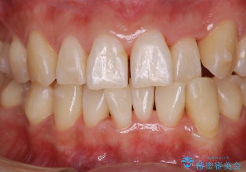
PMTC30分コースを行いました。
- 費用(概算)
- 5,500円費用は治療当時の料金となります
治療について
PMTCの30分コースを行いました。
インビザラインの矯正中の患者様で、着色だけではなく、多くのプラークが付いていました。矯正中は普段よりも一段と着色やプラークが付きやすくなります。歯の表面に白い突起(アタッチメント)が付くため、それに汚れが付きやすいためです。
1、2カ月に1回のペースのPMTCをおすすめします。
担当歯科衛生士
表参道しらゆり歯科 DH富田
PMTCの注意事項(リスク・副作用など)
- 歯を白くする目的の施術ではありません
- 保険適用外となります
当サイトの内容、テキスト、画像等の無断転載、複製、複写、盗用を固く禁じます。




