症例詳細
Case detail
骨の造成を伴うインプラント治療
治療症例の内容
- 担当医
- 大元洋佑(ドクタープロフィール)
- 患者様
- 50代女性
- 治療期間
- 1年2ヶ月
- 治療回数
- 5-10回
- 治療計画
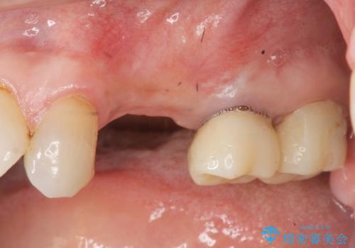
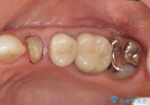
- グラグラする小臼歯の治療、全体的な治療のやりかえを希望され来院されました。
歯の穿孔(内部穴が開いている状態)破折等、歯を保存することができない問題が小臼歯には認められたので抜去を行います。
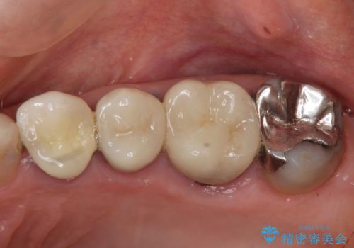
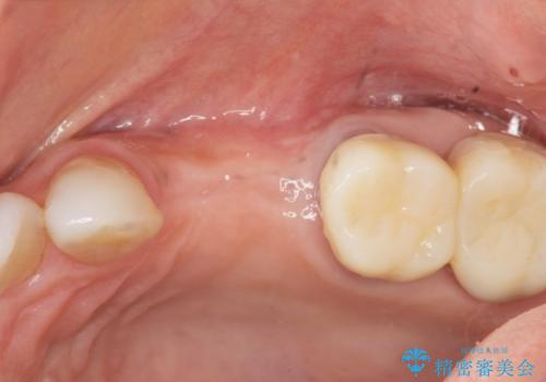
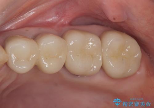
抜去後の補綴治療は長いブリッジではなくインプラント治療を希望されましたが、穿孔・破折による周囲の骨吸収をリカバリーすべく骨の造成を伴うインプラント治療を計画します。
- 費用(概算)
- 97.9万円(インプラント×2・アバットメント×2・仮歯×2・ジルコニアクラウン×2・骨造成)費用は治療当時の料金となります
インプラント治療について
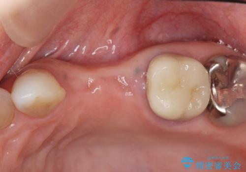
インプラント治療を行うにはインプラント周囲に十分な骨の幅・高さが必要です。
今回はが原因で失われてしまった骨の幅を回復することで長期的な予後を見込めるインプラント治療を行うことができました。
インプラント治療の注意事項(リスク・副作用など)
- 外科手術のため、術後に痛みや腫れ、違和感を伴います
- メンテナンスを怠ったり喫煙により、お口の中に大きな悪影響を及ぼすインプラント周囲炎等にかかる可能性があります
- 糖尿病、肝硬変、心臓病等の場合、インプラント治療ができない可能性があります
- 高血圧、貧血・不整脈等の場合、インプラント治療後に治癒不全を招く可能性があります
- 自費診療(保険適用外治療)となります
セラミック治療の注意事項(リスク・副作用など)
- 天然歯を削ります
- 硬い素材は天然歯を傷つけてしまう場合があります
- かみ合わせや歯ぎしりが強すぎる方はセラミックが割れてしまう可能性があります
- 自費診療(保険適用外治療)となります
当サイトの内容、テキスト、画像等の無断転載、複製、複写、盗用を固く禁じます。





































