症例詳細
Case detail
オフィスホワイトニング エクセレントコース
治療症例の内容
- 診療科目
- 治療カテゴリ
- 患者様
- 20代女性
- 治療期間
- 1日
- 治療回数
- 1回
- 治療計画
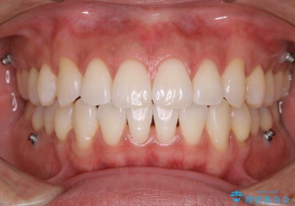
- インビザラインの矯正中で、追加アライナーのタイミングで歯を白くしたいとのことで来院されました。
ホワイトニング効果を高めるために、処置前クリーニングを行いオフィスホワイトニングのエクセレントコースを行いました。
- 費用(概算)
- 33,000円費用は治療当時の料金となります
治療について
処置前クリーニング(オプション¥3300)とオフィスホワイトニングのエクセレントコースを行いました。
1度のホワイトニングでワントーン白くなりました。1度の施術で白くなる範囲には限界があり、また個人差があります。ご希望のお色により数回が、かかる場合があります。
担当歯科衛生士
表参道しらゆり歯科 DH富田
ホワイトニングの注意事項(リスク・副作用など)
- 知覚過敏が出ることがあります
- ホワイトバンドや白い斑点が出ることがあります
- クラウンやインレー等の補綴物には効果がありません
- ホワイトニングによる効果や持続期間には個人差があります
- 歯牙の状態によっては適応できないことがあります
- 保険適用外となります
PMTCの注意事項(リスク・副作用など)
- 歯を白くする目的の施術ではありません
- 保険適用外となります
当サイトの内容、テキスト、画像等の無断転載、複製、複写、盗用を固く禁じます。


