症例詳細
Case detail
矮小歯を綺麗な歯に。矯正とセラミックの総合治療
治療症例の内容
- 診療科目
- 治療カテゴリ
- 担当医
- 患者様
- 30代女性
- 矯正装置
- インビザラインFULL
- 治療期間
- 2年
- 治療回数
- 10-30回
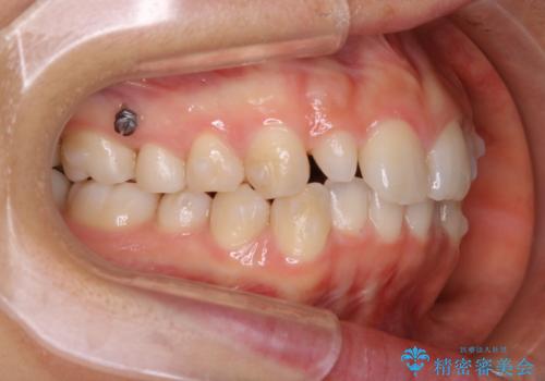
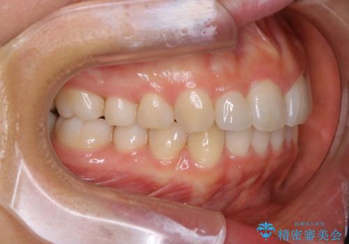
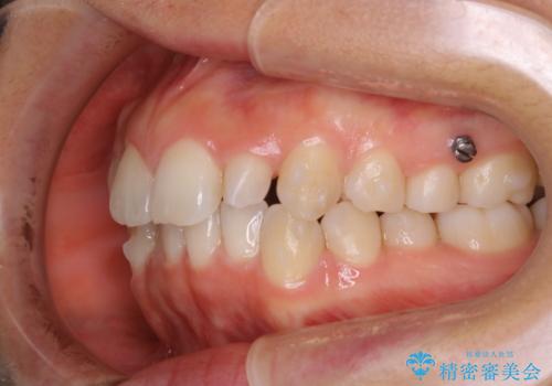
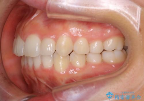
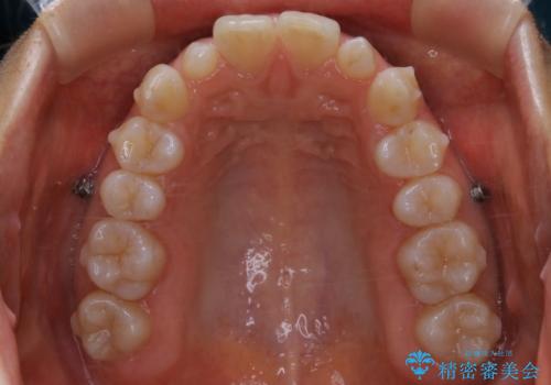
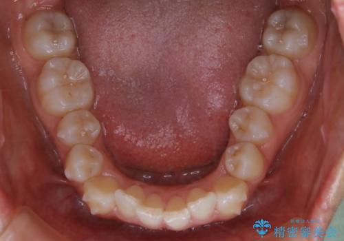
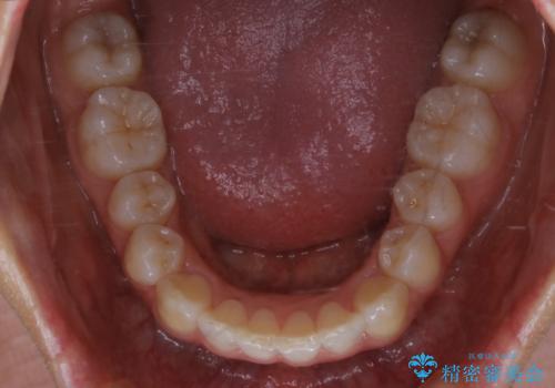
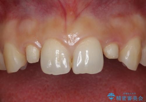
- 治療計画
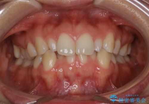
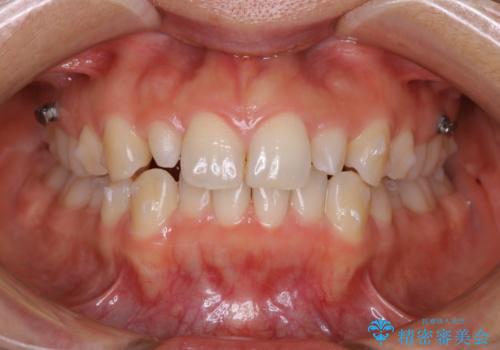
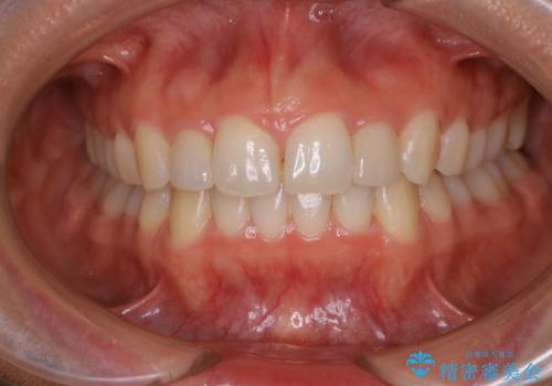
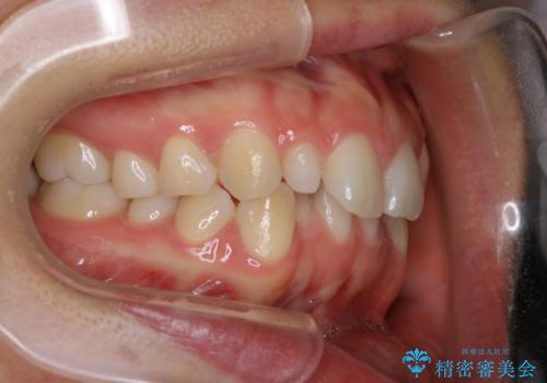
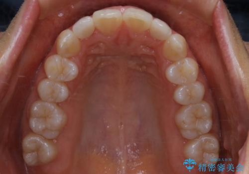
- 上の前歯が大きい事と下の前歯のがたつきを気にされてご相談にいらした方です。上の2番目の歯が矮小歯であったため、矯正治療にて歯のスペースを作った後、矮小歯には被せ物をして前歯のバランスを整えました。
- 費用(概算)
- 115万円(税込み:インビザライン・被せ物含む)費用は治療当時の料金となります
治療について
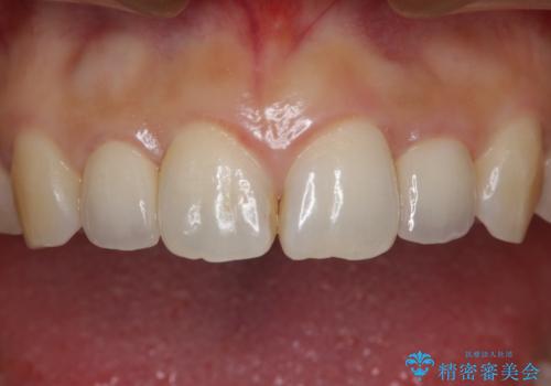
歯科技工士さんとの打ち合わせを重ね、周囲の歯としっかりなじむ天然歯のような被せ物をお作りすることが出来ました。
矯正治療と補綴治療をうまく組み合わせることで、美しい口元に仕上げることが出来ました。矯正治療、補綴治療をまとめて行える総合歯科治療を体現した治療といえます。
マウスピース矯正の注意事項(リスク・副作用など)
- 口腔内・歯並びの状態によっては対応できない場合があります
- マウスピース型矯正装置の長時間装着(1日20時間以上)が必須です
- 治療計画通りに進めるためには、患者様の意志が重要になります
- 矯正治療後の保定が不十分だと後戻り(元の位置に戻ろうとする動き)をします
- 薬機法対象外の矯正歯科装置のため医薬品副作用被害救済制度の対象外となる場合があります
- 自費診療(保険適用外)となります
セラミック治療の注意事項(リスク・副作用など)
- 天然歯を削ります
- 硬い素材は天然歯を傷つけてしまう場合があります
- かみ合わせや歯ぎしりが強すぎる方はセラミックが割れてしまう可能性があります
- 自費診療(保険適用外治療)となります
当サイトの内容、テキスト、画像等の無断転載、複製、複写、盗用を固く禁じます。
























