症例詳細
Case detail
薄い骨幅 骨造成 歯肉移植を併用したインプラント治療
治療症例の内容
- 担当医
- 大元洋佑(ドクタープロフィール)
- 患者様
- 50代女性
- 治療期間
- 11ヶ月
- 治療回数
- 5-10回
- 治療計画
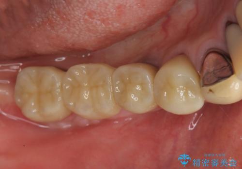
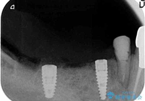
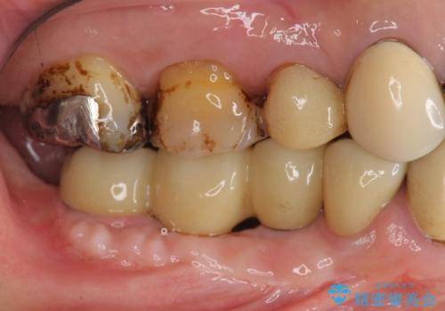
- インプラント治療を希望し数軒の医院で治療の相談をするも、骨の量が足りず治療が難しいと断られたのち当院にも相談にみえました。
長年の義歯の使用により骨の幅は非常に薄くインプラントを埋入するには大規模な骨の造成が必要な状態です。
また骨の問題だけでなく、完成後に歯ブラシがしやすいよう歯ぐきの移植も行いよりインプラント周囲の環境が安定するよう環境を整える治療計画を立てます。
- 費用(概算)
- 110万円(インプラント×2 チタンカスタムアバットメント×2 フルジルコニアクラウン×3 骨増成 歯肉移植)費用は治療当時の料金となります
インプラント治療について
インプラントを埋入するには十分な骨の量が必要で、吸収して少なくなってしまった場合でも造成できる場合があります。
また、機能したインプラントを長持ちさせるために清掃性を高めるために硬い歯ぐきを移植することは非常に有効です。
インプラント治療の注意事項(リスク・副作用など)
- 外科手術のため、術後に痛みや腫れ、違和感を伴います
- メンテナンスを怠ったり喫煙により、お口の中に大きな悪影響を及ぼすインプラント周囲炎等にかかる可能性があります
- 糖尿病、肝硬変、心臓病等の場合、インプラント治療ができない可能性があります
- 高血圧、貧血・不整脈等の場合、インプラント治療後に治癒不全を招く可能性があります
- 自費診療(保険適用外治療)となります
当サイトの内容、テキスト、画像等の無断転載、複製、複写、盗用を固く禁じます。


























