症例詳細
Case detail
見た目だけじゃない:マウスピースでも短期間で噛み合わせと口元を改善
治療症例の内容
- 診療科目
- 治療カテゴリ
- 担当医
- 患者様
- 20代女性
- 矯正装置
- インビザラインFULL
- 治療期間
- 1年6ヶ月
- 治療回数
- 10-30回
- 治療計画
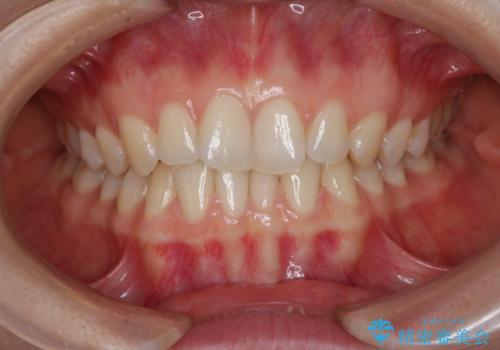
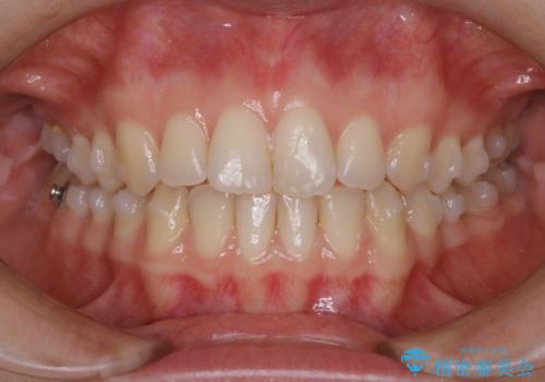
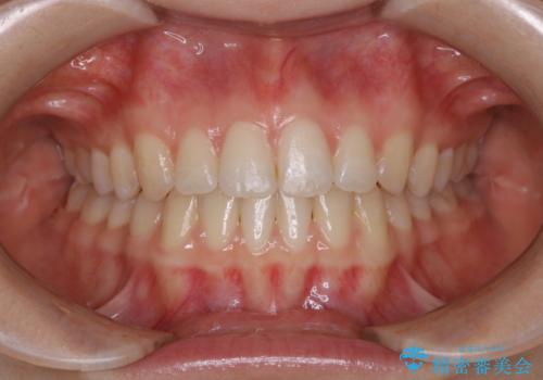
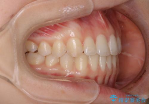
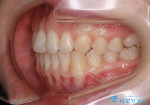
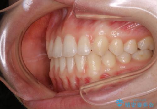
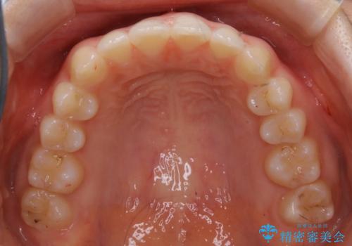
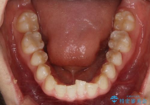
- 上下前歯のがたつきが気になるとご相談にいらした方です。
一見前歯のがたつきだけ改善させれば良い様に見えますが、このがたつきの原因は奥歯の嚙み合わせのズレからくるものであったため、インビザラインFULLで噛み合わせの改善から行っていきました。前歯の角度も改善されたために頑張って唇を閉じる必要がなくなり、横顔のシルエットも綺麗になりました。
- 費用(概算)
- 79万円(税込み)費用は治療当時の料金となります
治療について
前歯のがたつきだけを治そうとした場合、噛み合わせは二の次なってしまう事が多く、せっかく綺麗になった歯並びも後戻りしやすくなります。奥歯の噛み合わせからしっかり機能させることで、長期間にわたって綺麗な歯並びを保ちやすくなります。
インビザライン20時間以上正しく装着していただいたおかげもあり、短期間で治療することが出来ました。
マウスピース矯正の注意事項(リスク・副作用など)
- 口腔内・歯並びの状態によっては対応できない場合があります
- マウスピース型矯正装置の長時間装着(1日20時間以上)が必須です
- 治療計画通りに進めるためには、患者様の意志が重要になります
- 矯正治療後の保定が不十分だと後戻り(元の位置に戻ろうとする動き)をします
- 薬機法対象外の矯正歯科装置のため医薬品副作用被害救済制度の対象外となる場合があります
- 自費診療(保険適用外)となります
当サイトの内容、テキスト、画像等の無断転載、複製、複写、盗用を固く禁じます。



















