症例詳細
Case detail
重度のガタガタ ハーフリンガルによる目立たない抜歯矯正
治療症例の内容
- 診療科目
- 治療カテゴリ
- 担当医
- 患者様
- 20代女性
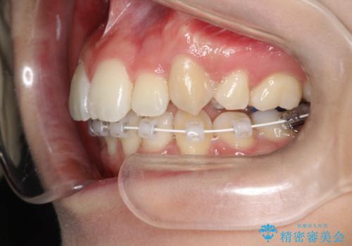
- 矯正装置
- ハーフリンガル
- 治療期間
- 2年1ヶ月
- 治療回数
- 10-30回
- 治療計画
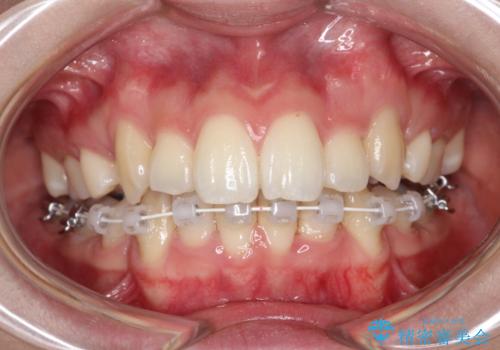
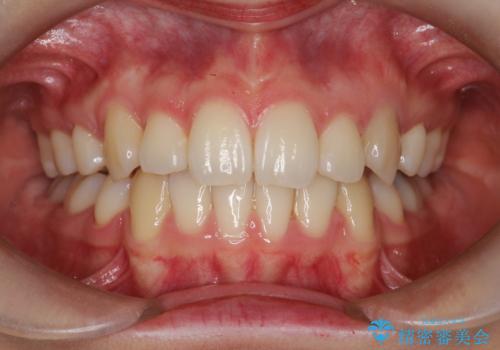
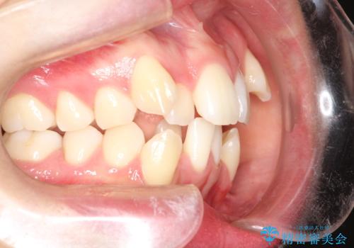
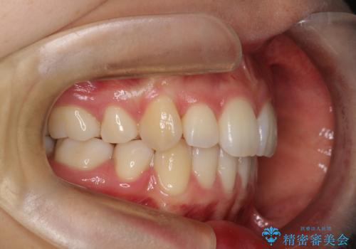
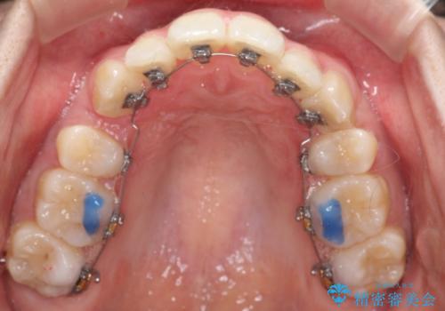
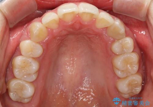
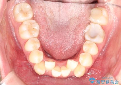
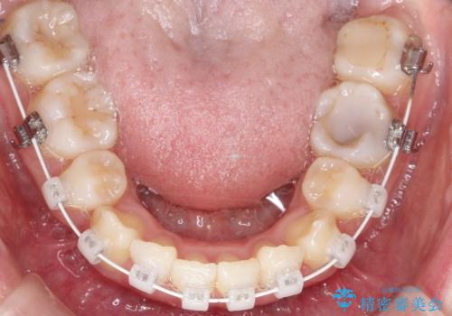
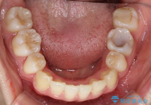
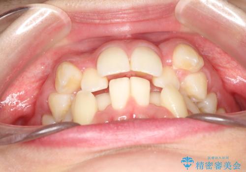
- 八重歯と前歯のガタガタを主訴に来院されました。
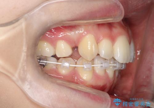
目立たない装置をご希望でしたので、上下左右の歯を1本ずつ抜歯してハーフリンガルでの矯正を行いました。
- 費用(概算)
- 約135万円費用は治療当時の料金となります
治療について
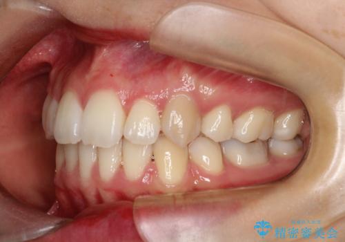
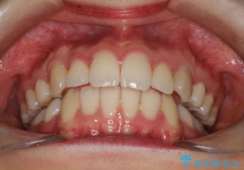
歯並びがコンプレックスで歯を見せて笑うことができなかったとのことですが、歯並びがよくなり、口元を気にせずに笑えるようになったと喜んでいただきました。
ワイヤー矯正の注意事項(リスク・副作用など)
- 治療中は違和感や痛みが起こることがあります
- 症状により、抜歯が必要な場合があります
- 治療中は歯磨きがしにくくなるため、虫歯や歯周病になりやすくなります
- 矯正治療後の保定が不十分だと後戻り(元の位置に戻ろうとする動き)をします
- 自費診療(保険適用外)となります
当サイトの内容、テキスト、画像等の無断転載、複製、複写、盗用を固く禁じます。



















