症例詳細
Case detail
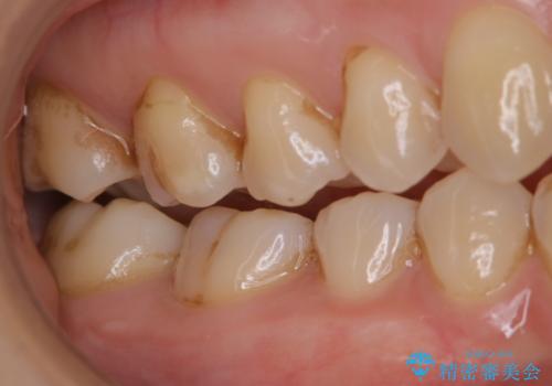
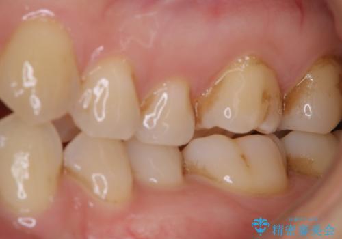
歯磨きをしても奥歯のザラつきが取れない
治療症例の内容
- 診療科目
- 治療カテゴリ
- 患者様
- 30代女性
- 治療期間
- 1日
- 治療回数
- 1回
- 治療計画
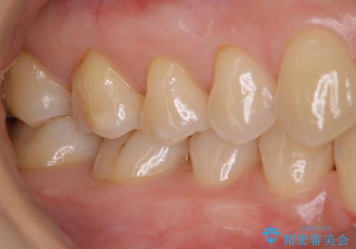
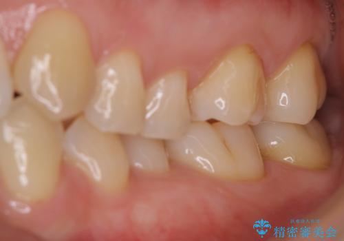
- 毎日歯磨きをしているのに、奥歯のザラつきが気になるとのことでした。プラーク・歯石・ステインが付着していたためPMTC60分コースを行いました。
- 費用(概算)
- ¥11000費用は治療当時の料金となります
治療について
PMTCとは、【プロフェッショナル・メカニカル・ティース・クリーニング】です。
毎日の歯磨きだけでは、落としきれない汚れや、プラークの元となるバイオフィルムという細菌の膜を専門の機械や材料を使用して除去することです。これらの処置を行うことで、虫歯・歯周病・口臭予防などになります。
また、汚れを除去することでご自身本来の歯の表面となり、歯磨きだけでは得られないツルツル感と、全体的に明るい印象に仕上がります。
担当
表参道しらゆり歯科 DH西澤
PMTCの注意事項(リスク・副作用など)
- 歯を白くする目的の施術ではありません
- 保険適用外となります
当サイトの内容、テキスト、画像等の無断転載、複製、複写、盗用を固く禁じます。






