症例詳細
Case detail
エアーフロー+オフィスホワイトニング
治療症例の内容
- 診療科目
- 治療カテゴリ
- 患者様
- 30代女性
- 治療期間
- 1日
- 治療回数
- 1回
- 治療計画
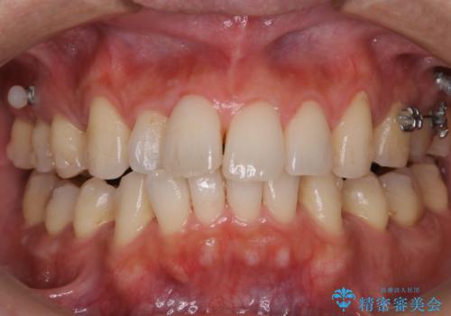
- 3カ月に1度、メンテナンスとしてエアーフローとオフィスホワイトニング来院されてます。
スペシャルコースのオフィスホワイトニングをされていますが、初めの1回はエクセレントコースをされてます。
現在は白さをキープする為、スペシャルかスタンダードコースにしています。
- 費用(概算)
- 約16000円費用は治療当時の料金となります
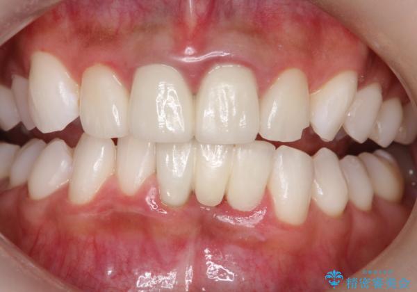
エアーフロー後のオフィスホワイトニング
エアーフロー後のホワイトニングは、バイオフィルムやぬめりがなく、ホワイトニング剤が吸収しやすく、セットで行うことをおすすめします。
担当歯科衛生士
銀座しらゆり歯科 DH吉越
PMTCの注意事項(リスク・副作用など)
- 歯を白くする目的の施術ではありません
- 保険適用外となります
ホワイトニングの注意事項(リスク・副作用など)
- 知覚過敏が出ることがあります
- ホワイトバンドや白い斑点が出ることがあります
- クラウンやインレー等の補綴物には効果がありません
- ホワイトニングによる効果や持続期間には個人差があります
- 歯牙の状態によっては適応できないことがあります
- 保険適用外となります
当サイトの内容、テキスト、画像等の無断転載、複製、複写、盗用を固く禁じます。


