症例詳細
Case detail
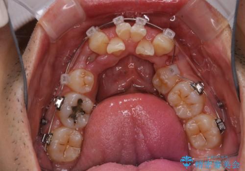
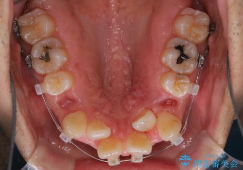
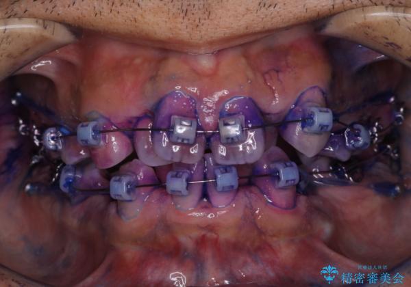
表のワイヤー装置で矯正中にPMTCで綺麗にお掃除
治療症例の内容
- 診療科目
- 治療カテゴリ
- 患者様
- 20代女性
- 治療期間
- 1日
- 治療回数
- 1回
- 治療計画
- ワイヤー装置で矯正中の方です。歯磨きがしずらく、専門的な機械でクリーニングしてほしいとの事でした。PMTC60分コースを行いました。
- 費用(概算)
- ¥11000費用は治療当時の料金となります
治療について
ワイヤー矯正中はブラッシングが難しくなるため、磨き残しが多くなることがあります。適切な道具を使って、適切なブラッシング方法を習得することで、磨き残しを減らすことができます。
また、矯正で歯の移動があると今までなかったところに隙間が出てきたり、ガタつきが解消されてきたりすることで、お口の中の環境が変わります。
矯正治療中も清潔な口腔内を保つことは、とても大切です。そのため、定期的に専門的な機械・材料を使用したProfessinnalcleaning(pmtc)を行うことがおススメです。
担当
表参道しらゆり歯科 DH西澤
PMTCの注意事項(リスク・副作用など)
- 歯を白くする目的の施術ではありません
- 保険適用外となります
当サイトの内容、テキスト、画像等の無断転載、複製、複写、盗用を固く禁じます。










