症例詳細
Case detail
エアフローによるクリーニング
治療症例の内容
- 診療科目
- 治療カテゴリ
- 患者様
- 50代男性
- 治療期間
- 1日
- 治療回数
- 1回
- 治療計画
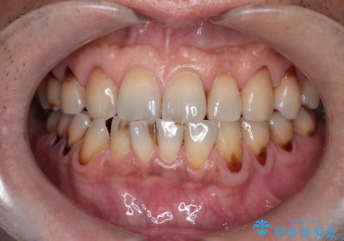
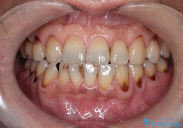
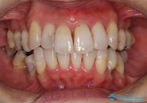
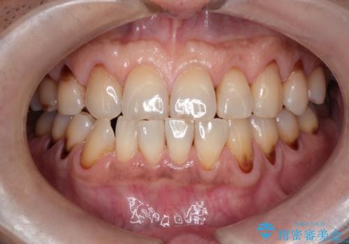
- 海外在住の日本人男性です。
帰国の際来院されます。非喫煙者ですが、毎回着色が多いです。
- 費用(概算)
- 約8000円費用は治療当時の料金となります
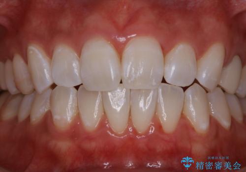
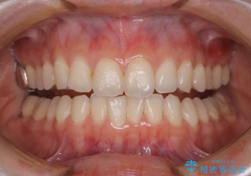
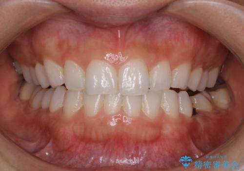
エアフロー
エアフローパウダー+超微細ウオーター
スプレーの噴射によりしつこい色素沈着やプラーク、バイオフィルムを除去します。
PMTCの注意事項(リスク・副作用など)
- 歯を白くする目的の施術ではありません
- 保険適用外となります
当サイトの内容、テキスト、画像等の無断転載、複製、複写、盗用を固く禁じます。


