症例詳細
Case detail
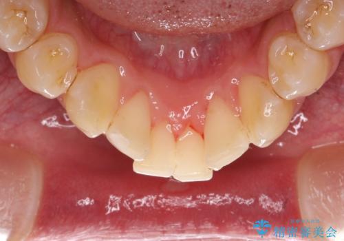
茶渋による着色と下の前歯の裏側のべったり歯石
治療症例の内容
- 診療科目
- 治療カテゴリ
- 患者様
- 30代男性
- 治療期間
- 1日
- 治療回数
- 1回
- 治療計画
- 定期健診でされた患者様です。
コーヒーやお茶をよく飲む患者様で、その影響か全体的に茶渋が見られました。
下の前歯は少しがたつきがあるため、歯石がたまりやすいように見られます。
着色落としをメインに歯石も落とすためPMTC(エアフロー)にて施術いたしました。
- 費用(概算)
- 7700円(税込み)費用は治療当時の料金となります
治療について
PMTC(エアフロー)
水と風と細かいパウダーを使用して歯の表面の汚れを落とすクリーニングです。
着色だけではなく、プラーク(歯垢)除去も可能になります。
細かいパウダーが歯面全体にいきわたりやすく素早くお掃除が可能なので30分コースで行いました。
六本木しらゆり歯科 DH椎名
PMTCの注意事項(リスク・副作用など)
- 歯を白くする目的の施術ではありません
- 保険適用外となります
当サイトの内容、テキスト、画像等の無断転載、複製、複写、盗用を固く禁じます。






