症例詳細
Case detail
前歯のがたつき マウスピース矯正で 非抜歯で奥歯を後ろに下げる治療
治療症例の内容
- 診療科目
- 治療カテゴリ
- 担当医
- 井上季実子(ドクタープロフィール)
- 患者様
- 20代男性
- 矯正装置
- インビザライン
- 治療期間
- 2年
- 治療回数
- 10-30回
- 治療計画
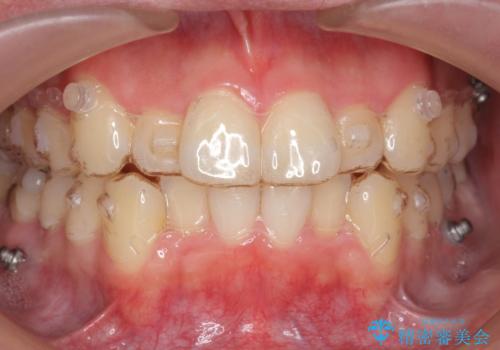
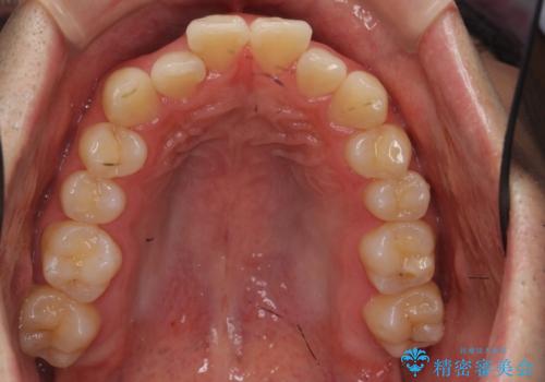
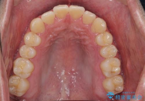
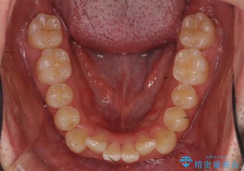
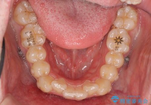
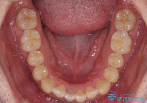
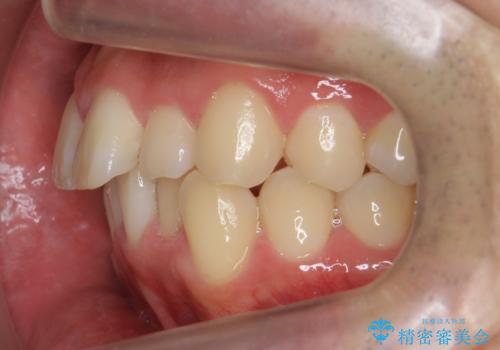
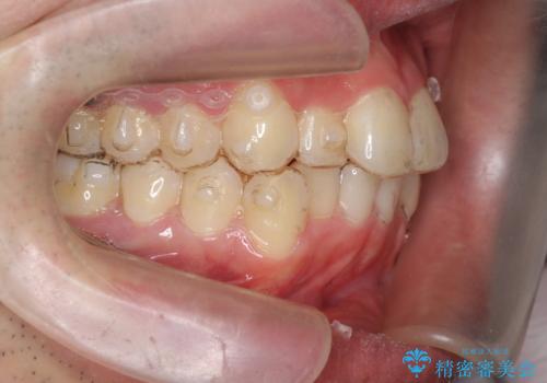
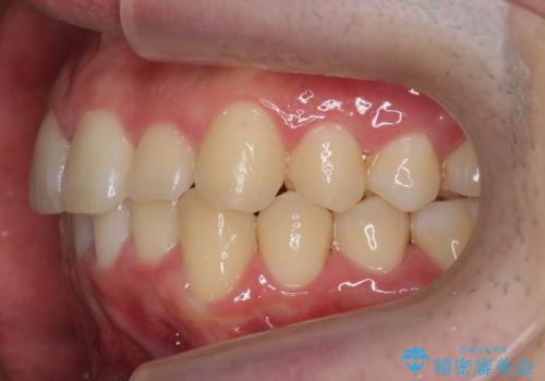
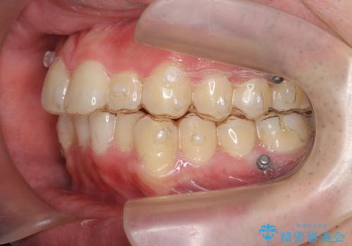
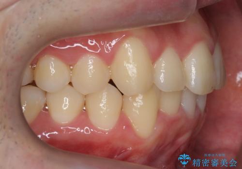
- 前歯のがたつきを主訴に来院。
歯を抜かずに、奥歯を後ろに下げ、歯の両側をわずかに削って並べました。
奥歯を後ろに下げるのに、上下左右に矯正用ミニスクリューを入れています。
そのまま並べると戻りやすいのと、口元が出てしまうためです。
削る際も、拡大鏡を用いて精密に行っております。肉眼で削るのとは実は大きく差があります。
- 費用(概算)
- 99万円(税込み)費用は治療当時の料金となります
治療について
歯のがたつきがなくなると、歯ブラシがしやすくなり、茶色いステインも付きにくくなります。
マウスピース矯正の注意事項(リスク・副作用など)
- 口腔内・歯並びの状態によっては対応できない場合があります
- マウスピース型矯正装置の長時間装着(1日20時間以上)が必須です
- 治療計画通りに進めるためには、患者様の意志が重要になります
- 矯正治療後の保定が不十分だと後戻り(元の位置に戻ろうとする動き)をします
- 薬機法対象外の矯正歯科装置のため医薬品副作用被害救済制度の対象外となる場合があります
- 自費診療(保険適用外)となります
当サイトの内容、テキスト、画像等の無断転載、複製、複写、盗用を固く禁じます。



















