症例詳細
Case detail
歯周病・虫歯・口臭などのトータルケア PMTC
治療症例の内容
- 診療科目
- 治療カテゴリ
- 患者様
- 20代女性
- 治療期間
- 1日
- 治療回数
- 1回
- 治療計画
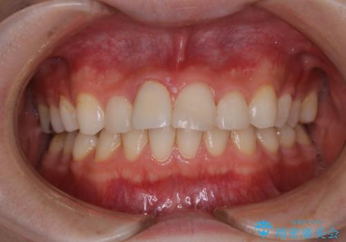
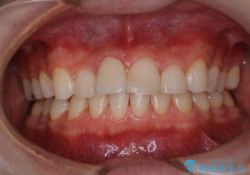
- しばらく歯科でのクリーニングをしていないとのことでしっかりメンテナンスしてほしいとのことでした。PMTC60分コースを行いました。
- 費用(概算)
- ¥11000費用は治療当時の料金となります
治療について
お口のトラブルを予防するには、PMTC(歯科医院で専門的な機械や材料を使用してクリーニング)を定期的に行うことが効果的な治療法です。
定期的なメンテナンスはもちろん、治療の前後や、治療中など小まめに専門的な機械的ケアをすることが大切です。
PMTCを行うことにより、スッキリと爽快感が得られたり、見た目も清潔感のある状態になるため、今後の治療などお口に対するモチベーションUPにも繋がります。
担当
表参道しらゆり歯科 DH西澤
PMTCの注意事項(リスク・副作用など)
- 歯を白くする目的の施術ではありません
- 保険適用外となります
当サイトの内容、テキスト、画像等の無断転載、複製、複写、盗用を固く禁じます。




