症例詳細
Case detail
虫歯ではなく、歯の着色
治療症例の内容
- 診療科目
- 治療カテゴリ
- 患者様
- 30代男性
- 治療期間
- 1日
- 治療回数
- 1回
- 治療計画
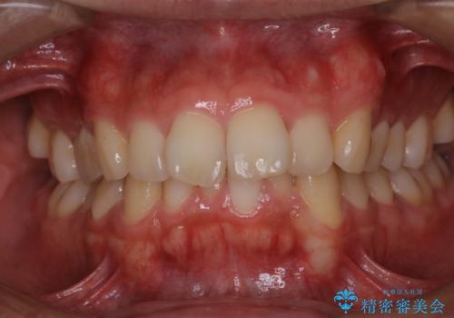
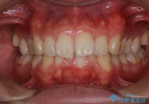
- 歯が黒くて虫歯かもしれないとのことで来院されました。虫歯ではなく、着色が付着してしまっていたためPMTC30分コースできれいに除去しました。
- 費用(概算)
- ¥5500費用は治療当時の料金となります
治療について
黒や茶色くなっている部分が、着色なのか、虫歯によるものなのかは判別が難しいことがあります。そのため、定期的にPMTCを行うことで状態の確認が的確に行えます。
PMTCとは、専門的な機械や材料を使用したしっかりとしたクリーニングです。
治療が開始される前などにも、全体的にクリーニングを行いご自身本来の歯の色、状態を精密に確認することが大切です。
担当
表参道しらゆり歯科 DH西澤
PMTCの注意事項(リスク・副作用など)
- 歯を白くする目的の施術ではありません
- 保険適用外となります
当サイトの内容、テキスト、画像等の無断転載、複製、複写、盗用を固く禁じます。




