症例詳細
Case detail
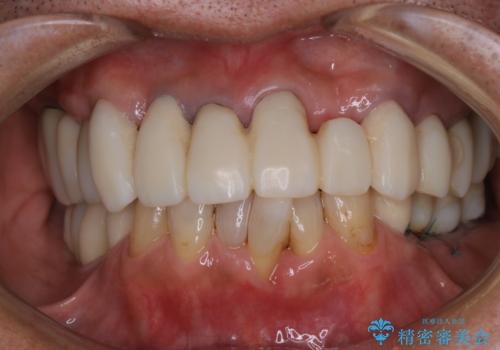
治療中の仮歯もPMTCで白くきれいに
治療症例の内容
- 診療科目
- 治療カテゴリ
- 患者様
- 50代男性
- 治療期間
- 1日
- 治療回数
- 1回
- 治療計画
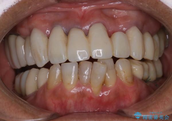
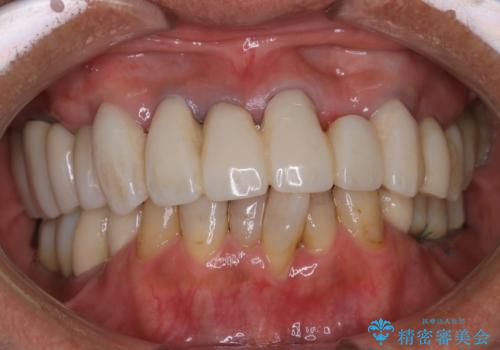
- 全体的な総合治療中の患者様です。仮歯の間も見た目を出来る限り白く綺麗にしたいとのことでした。PMTCの30分コースでできる限りクリーニングを行いました。
 
- 費用(概算)
- ¥5500費用は治療当時の料金となります
治療について
治療期間中には仮歯を装着していきます。仮歯も技工所に発注をし、きれいな仮歯を制作します。
歯茎との調和や歯の形、かみ合わせなどの確認・修正などを行っていくため汚れが付着しやすくなったりステインがついたりすることがあります。そのため治療中もクリーニングを行い清潔で綺麗な状態を保つことがおすすめです。
担当
表参道しらゆり歯科 DH西澤
PMTCの注意事項(リスク・副作用など)
- 歯を白くする目的の施術ではありません
- 保険適用外となります
当サイトの内容、テキスト、画像等の無断転載、複製、複写、盗用を固く禁じます。








 
                       
                                                          



 
                   
                   
                  