症例詳細
Case detail
矯正治療を終えてのクリーニング
治療症例の内容
- 診療科目
- 治療カテゴリ
- 患者様
- 30代男性
- 治療期間
- 1日
- 治療回数
- 1回
- 治療計画
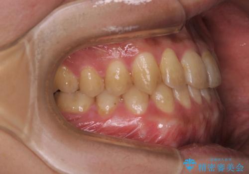
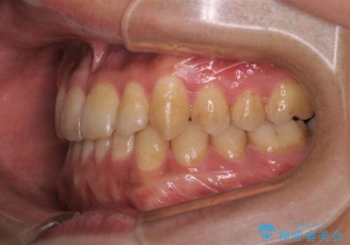
- 矯正治療が終わったので歯のクリーニングを希望され来院しました。
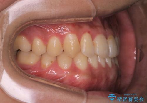
PMTC60分コースを行いました。
- 費用(概算)
- 11000円費用は治療当時の料金となります
治療について
PMTC60分コースを行いました。
全体の歯の面に着色がついていました。PMTCを定期的に行うことにより、毎日の歯磨きやお食事によって傷ついた歯をツヤツヤでなめらかな歯にしてくれます。ですので着色が付着しにくい歯にすることができます。
担当歯科衛生士
表参道しらゆり歯科 DH富田
PMTCの注意事項(リスク・副作用など)
- 歯を白くする目的の施術ではありません
- 保険適用外となります
当サイトの内容、テキスト、画像等の無断転載、複製、複写、盗用を固く禁じます。






