症例詳細
Case detail
PMTCで笑った時の口元を自然に明るくしたい
治療症例の内容
- 診療科目
- 治療カテゴリ
- 患者様
- 30代男性
- 治療期間
- 1日
- 治療回数
- 1回
- 治療計画
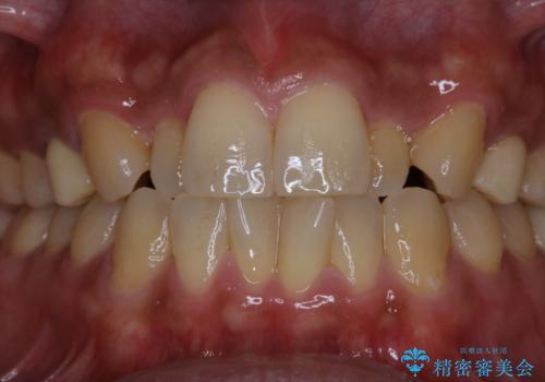
- 鏡で見たときに口元の黄ばみにが気になったとのことでした。しばらく歯医者での機械的なお掃除をしていないので全体的にきれいにしたいと希望されました。
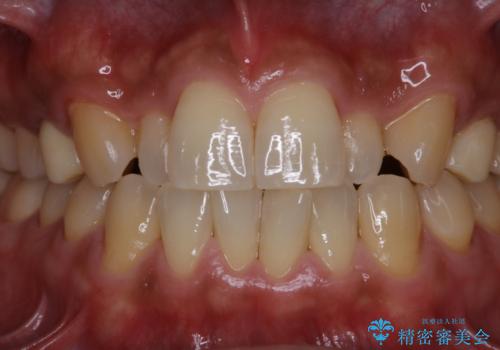
PMTC60分コースを行いました。
- 費用(概算)
- ¥11000費用は治療当時の料金となります
治療について
虫歯や歯周病・口臭などの原因となるプラーク・歯垢(細菌の塊)は、べたべたと歯にくっつきやすく、また歯と同じような色をしているので見落としやすいものです。
虫歯や歯周病・口臭などの予防のためには、磨き残しやすい場所を染め出し液などで把握しておくことや正確な歯磨き方法を知ることがとても重要です。
綺麗に磨いたつもりでも、歯ブラシが当たりにくい所、苦手な所には、磨き残しがあるものです。
PMTCの際には、必要に応じて歯磨き指導も行います。
また、PMTCを行うことで、ステインやバイオフィルムが除去され、ご自身本来の歯の色となります。
担当
表参道しらゆり歯科 DH西澤
PMTCの注意事項(リスク・副作用など)
- 歯を白くする目的の施術ではありません
- 保険適用外となります
当サイトの内容、テキスト、画像等の無断転載、複製、複写、盗用を固く禁じます。






