症例詳細
Case detail
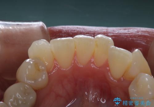
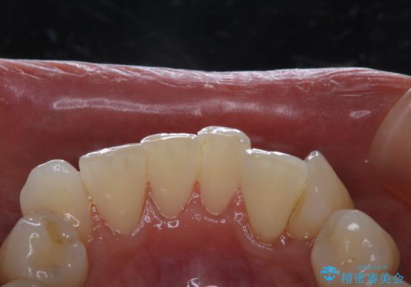
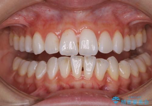
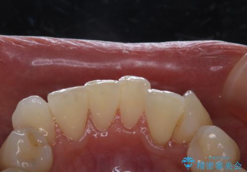
invisalignの型取り前に歯のクリーニング
治療症例の内容
- 診療科目
- 治療カテゴリ
- 患者様
- 20代女性
- 治療期間
- 1日
- 治療回数
- 1回
- 治療計画
- これから矯正治療がスタートするため、きれいクリーニングしたいとのことでした。PMTC30分コースを行いました。
- 費用(概算)
- ¥5500費用は治療当時の料金となります
治療について
歯磨きには、いつも気をつけているから磨き残しはナシと思っていても、実際完璧に磨ききることはなかなか難しいです。歯科医院にて、専門の機械で定期的なPMTCを行うことが大切です。
また、これから矯正治療が開始される方はなおさら歯磨きをマスターして、矯正治療中に虫歯や歯周病にならないようにケアする必要があります。
担当
表参道しらゆり歯科 DH西澤
PMTCの注意事項(リスク・副作用など)
- 歯を白くする目的の施術ではありません
- 保険適用外となります
当サイトの内容、テキスト、画像等の無断転載、複製、複写、盗用を固く禁じます。


