症例詳細
Case detail
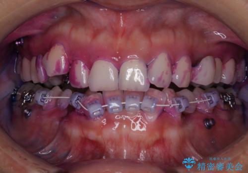
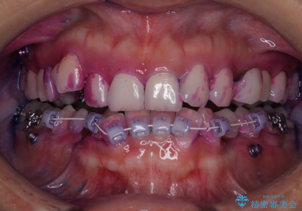
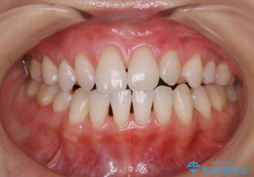
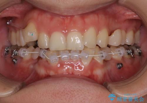
ハーフリンガルでのワイヤー矯正中にクリーニングで綺麗に
治療症例の内容
- 診療科目
- 治療カテゴリ
- 患者様
- 20代女性
- 治療期間
- 1日
- 治療回数
- 1回
- 治療計画
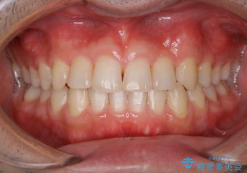
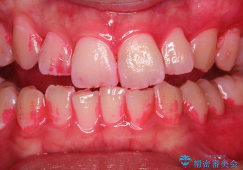
- ハーフリンガルでのワイヤー矯正中に汚れが気になるとのことでした。PMTC30分と歯ブラシ指導を行いました。
- 費用(概算)
- ¥5500費用は治療当時の料金となります
治療について
ワイヤー矯正中はブラッシングが難しくなるため、磨き残しが多くなることがあります。
ご自身でのブラッシングケアでは、歯周ポケットの中に歯ブラシの毛先が届くのはわずか2ミリ程です。軽度の歯周炎の場合でも歯周ポケットは3ミリほどあります。歯茎の中に長く汚れが溜まると、歯石や細菌などがつき、口臭の原因にもなります。
適切な道具を使って、適切なブラッシング方法を習得することで、磨き残しを減らすことができます。
また、矯正で歯の移動があると今までなかったところに隙間が出てきたり、ガタつきが解消されてきたりすることで、お口の中の環境が変わります。
矯正治療中も清潔な口腔内を保つことは、とても大切です。そのため、定期的に専門的な機械・材料を使用したProfessinnalcleaning(pmtc)を行うことがおススメです。
PMTCのコースについて
PMTCは30分コース・60分コースがあります。
30分コースでは主に前歯をメインに行います。
60分コースでは全体的に行います。
お口の状態、ご希望に合わせて当日担当の歯科衛生士とご相談してから行うことが可能です。
※着色や歯石の量、お口の状態により60分コースでも全ての汚れを除去することができない場合もあります。
担当
表参道しらゆり歯科 DH西澤
PMTCの注意事項(リスク・副作用など)
- 歯を白くする目的の施術ではありません
- 保険適用外となります
当サイトの内容、テキスト、画像等の無断転載、複製、複写、盗用を固く禁じます。


