症例詳細
Case detail
茶渋による汚れをクリーニングできれいに
治療症例の内容
- 診療科目
- 治療カテゴリ
- 患者様
- 20代女性
- 治療期間
- 1日
- 治療回数
- 1回
- 治療計画
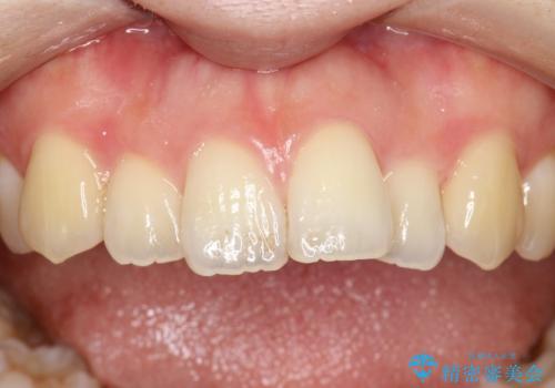
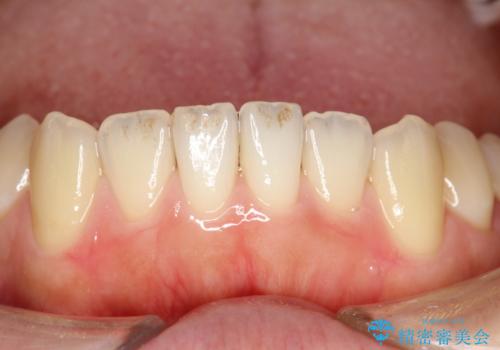
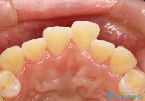
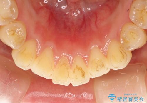
- 全体の歯にうっすらと茶渋によるステインが見られます。
よく見ると歯自体はあまり黄色くないので、ステインによって歯が黄色く見えてしまっています。
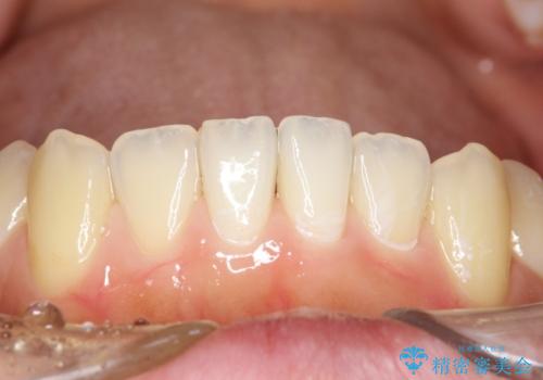
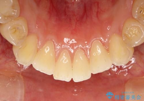
PMTCというクリーニングを行うことでステインは除去できるので、今回はPMTC(エアフロー)の60分コースにて全体のクリーニングを行いました。
- 費用(概算)
- 13200円(税込)費用は治療当時の料金となります
治療について
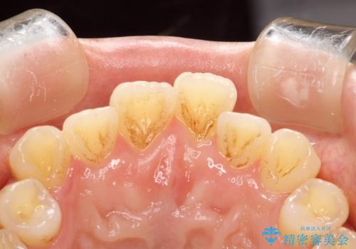
エアフローは歯と歯の間や、詰め物との境目などブラシやチップが届かないところまで細かくお掃除が可能になります。
隅々までお掃除することで虫歯や歯周病のリスクを下げる効果があります。
六本木河野歯科クリニック DH椎名
PMTCの注意事項(リスク・副作用など)
- 歯を白くする目的の施術ではありません
- 保険適用外となります
当サイトの内容、テキスト、画像等の無断転載、複製、複写、盗用を固く禁じます。










