症例詳細
Case detail
歯が欠けて舌が引っかかる セラミックインレー 50代女性
治療症例の内容
- 診療科目
- 治療カテゴリ
- 担当医
- 患者様
- 50代女性
- 治療期間
- 1ヶ月
- 治療回数
- 2-5回
- 治療計画
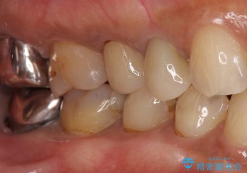
- 歯が欠けて舌が引っかかることを主訴に来院された患者様です。
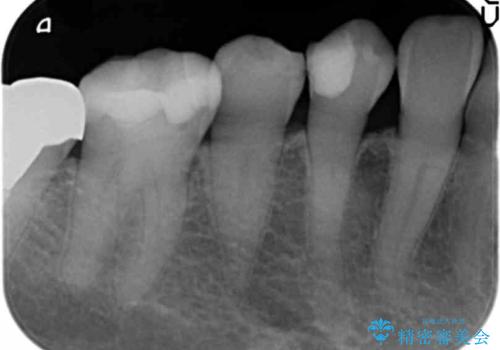
精査したところ、右下小臼歯(右下4)が欠けていました。
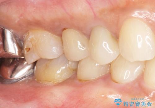
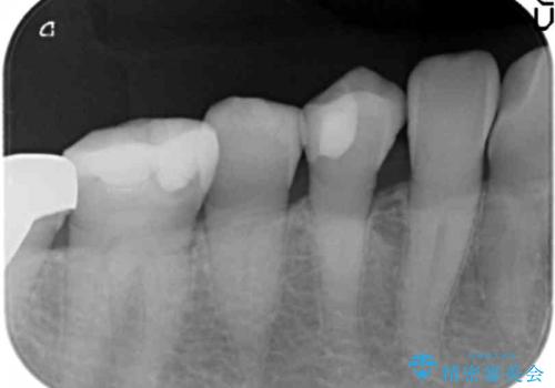
古いレジンを取り除いてしっかり治療したいという患者様のご希望により、セラミックインレーによる修復を行いました。
- 費用(概算)
- ¥77,000 (セラミックインレー) ※税込費用は治療当時の料金となります
治療について
自然な仕上がりと咬み心地に喜んで頂けました。
モチベーションが上がり、他の歯の治療もご希望され現在治療中です。
インレーの種類:e-max press セラミックインレー
セラミック治療の注意事項(リスク・副作用など)
- 天然歯を削ります
- 硬い素材は天然歯を傷つけてしまう場合があります
- かみ合わせや歯ぎしりが強すぎる方はセラミックが割れてしまう可能性があります
- 自費診療(保険適用外治療)となります
当サイトの内容、テキスト、画像等の無断転載、複製、複写、盗用を固く禁じます。








