症例詳細
Case detail
矯正治療が始まる前にクリーニングと歯磨き指導
治療症例の内容
- 診療科目
- 治療カテゴリ
- 患者様
- 20代女性
- 治療期間
- 1日
- 治療回数
- 1回
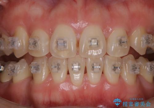
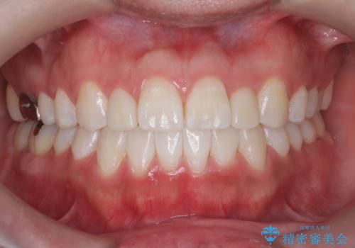
- 治療計画
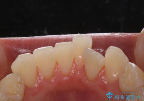
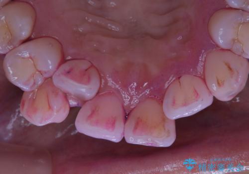
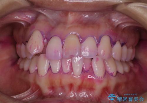
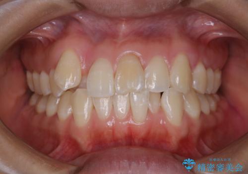
- これから矯正治療を行うため、しっかりきれいにしておきたいとのことでした。染め出しを行い歯磨き指導とPMTC30分コースを行いました。
- 費用(概算)
- ¥5500費用は治療当時の料金となります
治療について
虫歯や歯周病の原因となるプラーク・歯垢(細菌の塊)は、べたべたと歯にくっつきやすく、また歯と同じような色をしているので見落としやすいものです。
虫歯や歯周病の予防のためには、磨き残しやすい場所を染め出し液などで把握しておくことや正確な歯磨き方法を知ることがとても重要です。
綺麗に磨いたつもりでも、歯ブラシが当たりにくい所、苦手な所には、磨き残しがあるものです。
PMTCの際には、必要に応じて歯磨き指導も行います。
また、これから矯正治療が開始される方はなおさら歯磨きをマスターして、矯正治療中に虫歯や歯周病にならないようにケアする必要があります。
定期的に歯磨きチェックや専門的なクリーニング(pmtc)を受けることをお勧めします。
担当
表参道しらゆり歯科 DH西澤
PMTCの注意事項(リスク・副作用など)
- 歯を白くする目的の施術ではありません
- 保険適用外となります
当サイトの内容、テキスト、画像等の無断転載、複製、複写、盗用を固く禁じます。






