症例詳細
Case detail
歯を自然な白さにしたい(スペシャルホワイトニング)
治療症例の内容
- 診療科目
- 治療カテゴリ
- 患者様
- 40代女性
- 治療期間
- 1日
- 治療回数
- 1回
- 治療計画
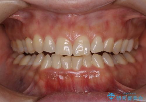
- 歯の色を自然な白さにしたいとのことで来院されました。
クリーニングも久しぶりのため、処置前クリーニング(歯石・歯垢・着色の除去)をしてからオフィスホワイトニングを行いました。
- 費用(概算)
- 16280円(処置前クリーニング、トリートメント付き)費用は治療当時の料金となります
治療について
ホワイトニングスペシャルコース(3回照射)と処置前クリーニングとトリートメントを施術しました。
処置前クリーニングは、歯の面に歯垢や歯石、着色が付いている状態で、ホワイトニングを行ってもホワイトニングジェルの浸透が悪くなりホワイトニングの効果が最大に発揮されないため、ホワイトニングを行う際は、処置前クリーニングをおすすめします。
担当歯科衛生士
表参道しらゆり歯科 DH富田
ホワイトニングの注意事項(リスク・副作用など)
- 知覚過敏が出ることがあります
- ホワイトバンドや白い斑点が出ることがあります
- クラウンやインレー等の補綴物には効果がありません
- ホワイトニングによる効果や持続期間には個人差があります
- 歯牙の状態によっては適応できないことがあります
- 保険適用外となります
PMTCの注意事項(リスク・副作用など)
- 歯を白くする目的の施術ではありません
- 保険適用外となります
当サイトの内容、テキスト、画像等の無断転載、複製、複写、盗用を固く禁じます。




