症例詳細
Case detail
半年ぶりのメンテナンス PMTCでピカピカな歯に
治療症例の内容
- 診療科目
- 治療カテゴリ
- 患者様
- 30代男性
- 治療期間
- 1日
- 治療回数
- 1回
- 治療計画
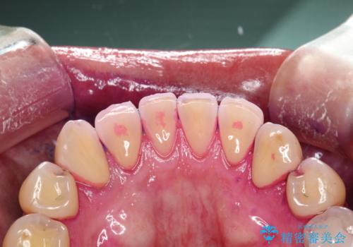
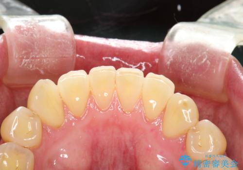
- 半年ぶりの来院できれいにクリーニンングしてほしいとのことでした。染め出しをして歯磨きチェックとPMTC30分コースを行いました。
- 費用(概算)
- ¥5500費用は治療当時の料金となります
治療について
歯の染め出しとは、汚れがついている部分に色が着いて、どの部分が磨けていないか分かりやすく確認することができます。歯の表面についているプラークは歯と同じ色をしているので見た目では分かりにくいものです。そのため、染め出しをすると、長い期間付着している汚れが濃い色になったり、どの部分が苦手で磨き残してしまっているか確認することが出来ます。
担当
表参道しらゆり歯科 DH西澤
PMTCの注意事項(リスク・副作用など)
- 歯を白くする目的の施術ではありません
- 保険適用外となります
当サイトの内容、テキスト、画像等の無断転載、複製、複写、盗用を固く禁じます。






