症例詳細
Case detail
噛むと痛い銀歯 根管治療を伴うやりかえ
治療症例の内容
- 診療科目
- 治療カテゴリ
- 担当医
- 大元洋佑(ドクタープロフィール)
- 患者様
- 30代女性
- 治療期間
- 1ヶ月
- 治療回数
- 2-5回
- 治療計画
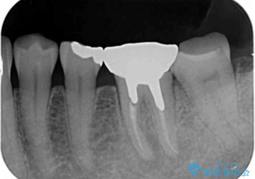
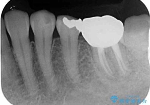
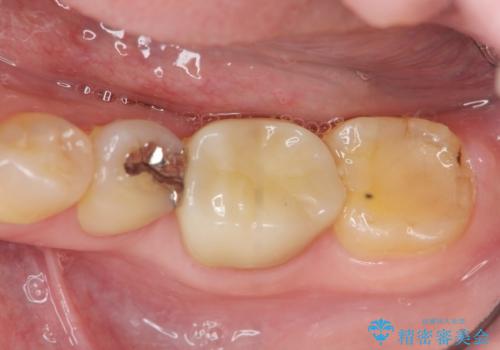
- 銀歯の部分で噛むと痛い、痛みが増している、と治療を希望され来院されました。
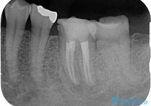
X線写真より根の先に病変が認められたため、根管治療を行ったのちジルコニアクラウンによる咬合機能回復治療を計画します。
- 費用(概算)
- 14.3万円(仮歯・ファイバーコア・ジルコニアクラウン)費用は治療当時の料金となります
根管治療について
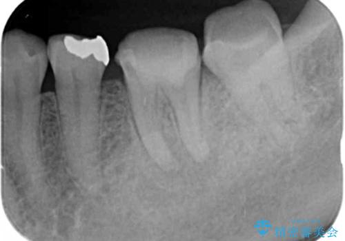
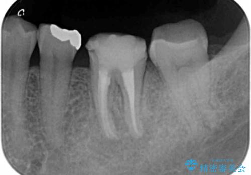
根管治療を行ったのち、噛んだときに生じていた痛みも改善し、またしっかりと噛んで食事ができるようになりました。
セラミック治療の注意事項(リスク・副作用など)
- 天然歯を削ります
- 硬い素材は天然歯を傷つけてしまう場合があります
- かみ合わせや歯ぎしりが強すぎる方はセラミックが割れてしまう可能性があります
- 自費診療(保険適用外治療)となります
根管治療の注意事項(リスク・副作用など)
- 根管治療により類似の全ての症例の問題が解決するわけではなく、症例はあくまでも一例です
- 根管治療により痛みや腫れがひかない事や、術後に痛みや腫れが生じる事、治療によるファイル破折やパーフォレーションなどの偶発症、術後の歯根破折を生じる可能性もあります
- 自費診療(保険適用外)となります
当サイトの内容、テキスト、画像等の無断転載、複製、複写、盗用を固く禁じます。









