症例詳細
Case detail
親知らずの抜歯前にPMTC
治療症例の内容
- 診療科目
- 治療カテゴリ
- 患者様
- 30代男性
- 治療期間
- 1日
- 治療回数
- 1回
- 治療計画
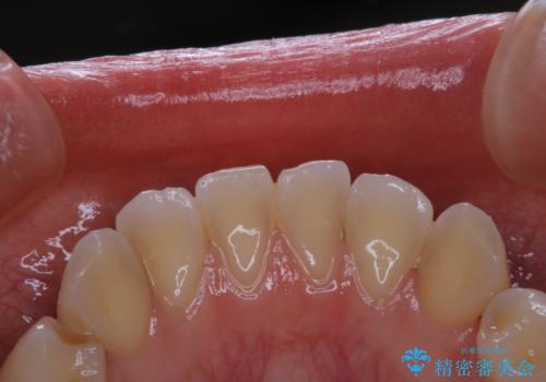
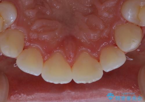
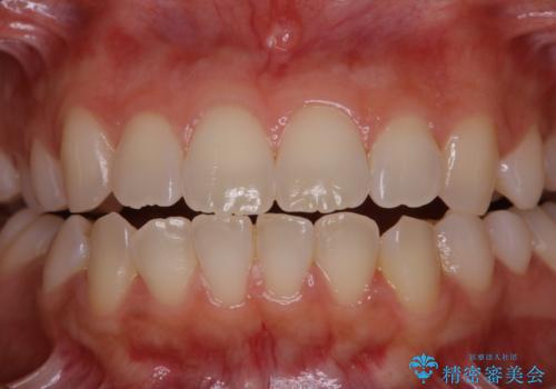
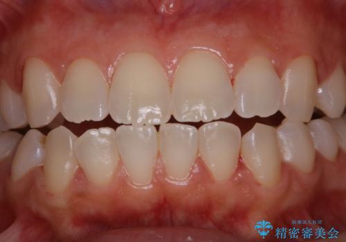
- 親知らずを抜く前に全体的なクリーニンングをしておきたいとのことでした。PMTC30分コースを行いました。
- 費用(概算)
- ¥5500費用は治療当時の料金となります
治療について
PMTCとはプロフェッショナル・メカニカル・トゥース・クリーニングの略です。
専門的な機械や器具を使用して歯のクリーニングを行います。
口の中には、目には見えない細菌がたくさんいます。
歯面のプラークや着色(ステイン)など、細菌をしっかり除去し、治療の妨げにならないよう、PMTCを行うことも大切です。
親知らずの抜歯や、外科的な治療前などにPMTCを行うことで、術後の感染予防などにも繋がります。
担当
表参道しらゆり歯科 DH西澤
PMTCの注意事項(リスク・副作用など)
- 歯を白くする目的の施術ではありません
- 保険適用外となります
当サイトの内容、テキスト、画像等の無断転載、複製、複写、盗用を固く禁じます。












