症例詳細
Case detail
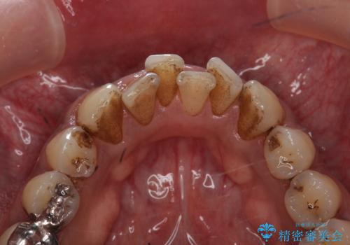
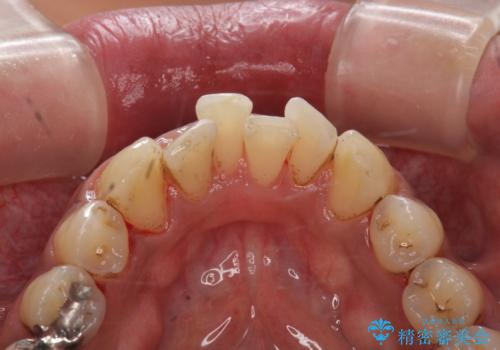
タバコによるヤニ、着色、歯の汚れをPMTC(60分コース)で除去。
治療症例の内容
- 診療科目
- 治療カテゴリ
- 患者様
- 30代男性
- 治療期間
- 1日
- 治療回数
- 1回
- 治療計画
- 長年の喫煙による歯の着色をきれいにしたいと、来院されました。
全体にかなり付着していましたので、PMTC(医院で行うプロフェッショナルクリーニング)60分コースを
おすすめしました。
- 費用(概算)
- 11000円(税込)費用は治療当時の料金となります
PMTC(60分コース) 担当衛生士 進藤
着色だけでなく歯の表面の汚れもきれいにし、歯の表面がツルツルになって
気持ちがいいと、大変満足していただけました。
PMTCの注意事項(リスク・副作用など)
- 歯を白くする目的の施術ではありません
- 保険適用外となります
当サイトの内容、テキスト、画像等の無断転載、複製、複写、盗用を固く禁じます。




